Киста яичника – это доброкачественное опухолевидное образование, заполненное жидкостью. Патология выявляется в любом возрасте, в том числе у подростков и женщин в менопаузу. Отличается бессимптомным течением, может давать нарушение менструального цикла и появление болей внизу живота. Некоторые образования яичника склонны к самопроизвольному регрессу, другие – к бесконтрольному росту. Выяснить тип патологии и определиться с тактикой лечения можно после полного обследования у гинеколога.
Может ли киста яичника перерасти в рак? По статистике, это случается крайне редко – едва ли в 0,01% случаев. Однако под видом условно безобидного образования может скрываться истинная опухоль, в том числе и злокачественная. На начальных стадиях развития рак имитирует кисту, и выявить опасную болезнь довольно сложно. Точный диагноз порой выставляется только после удаления опухоли и гистологического исследования.
Киста – это почти рак?
Киста яичника – это всегда доброкачественное образование. Выявление в яичниках полости, заполненной жидкостью – не повод для паники. У молодых женщин подобная патология крайне редко оказывается первой стадией злокачественного процесса. С большой долей вероятности при обследовании выявится патология, не представляющая угрозы для жизни.
Схематическое изображение кисты и рака яичника.
В гинекологии все образования яичников принято разделять на три группы:
- Доброкачественные – к ним относятся и кисты, и истинные опухоли. Выявляются чаще в репродуктивном возрасте. Не метастазируют;
- Пограничные – образования, занимающие промежуточное положение. Такие опухоли по клинической картине схожи с доброкачественными, но по клеточному строению напоминают злокачественные. Практически не дают метастазов, но склонны к рецидивам. Выявляются преимущественно после 30 лет;
- Злокачественные – отличаются инвазивным ростом (прорастают в окружающие ткани), дают метастазы. Обнаруживаются обычно в менопаузу.
Можно ли спутать кисту и рак яичника? Да, такое возможно. На ранних стадиях эти заболевания практически не отличаются, и выставить точный диагноз без обследования не получится. Существует много методов заподозрить опасную опухоль, однако окончательный вердикт дает только гистологическое заключение.
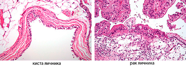
На данных картинках показано гистологическое строение кисты и рака яичника.
Какие кисты перерождаются в раковую опухоль
Не всякое образование яичника – это онкологический процесс. Вероятность злокачественного перерождения зависит от его вида:
- Фолликулярная киста не содержит в своем составе аденогенного эпителия, поэтому не может перейти в рак. Такие образования в 80% случаев спонтанно регрессируют в течение трех месяцев;
- Лютеиновая киста формируется из желтого тела. Вероятность малигнизации не доказана. Склонна к самопроизвольному исчезновению, поэтому не рассматривается как фактор риска развития рака;
- Эндометриоидная киста возникает в репродуктивном периоде и может регрессировать в менопаузу. Достоверных данных по ее малигнизации не получено. Считается, что образование больших размеров (от 9 см) склонно к озлокачествлению. Замечено, что существование эндометриоза повышает вероятность развития рака яичников и кишечника;
- Простая серозная киста при обследовании нередко оказывается истинной опухолью. Возможно перерождение в рак;
- Параовариальная киста отличается бессимптомным течением, поэтому выявляется при достижении больших размеров. Не исключена возможность озлокачествления;
- Дермоидная киста – это врожденная патология. Содержит элементы эмбриональных тканей (ногти, волосы, жировые и нервные клетки). Может перерасти в злокачественное новообразование;
- Геморрагическая киста не является отдельной патологией. Полость, заполненная кровью, возникает на основе любого образования яичника. Не может считаться признаком малигнизации.
Различные типы кист яичника.
Есть мнение, что рак чаще выявляется на правом яичнике, тогда как на левом малигнизация случается реже. Никаких научных подтверждений этой теории не было найдено. Справа действительно чаще образуются опухоли – и доброкачественные, и злокачественные, что объясняется активным кровоснабжением этой зоны. В правом яичнике чаще происходит овуляция, но этот фактор не может говорить о риске малигнизации. Достоверных статистических данных по этому вопросу пока не представлено.
Факторы риска: кому грозит рак яичника
Достоверно неизвестно, как часто киста яичника перерождается в рак. Специалисты указывают, что не более чем в 0,01% случаев, однако эта цифра может меняться в зависимости от наличия факторов риска:
- Возраст. У молодых женщин крайне редко киста переходит в злокачественную опухоль. Вероятность малигнизации повышается после 40 лет;
- Критические периоды развития. Особого внимания заслуживает появление полости в яичниках у девочек, не вступивших в период полового созревания, а также в постменопаузу;
- Анамнез. При рецидиве кисты требуется тщательное обследование – не исключено развитие пограничной опухоли, способной переродиться в рак;
- Сопутствующая патология. Нередко злокачественное новообразование придатков выявляется на фоне рака матки, молочных желез, кишечника;
- Наследственность. Известны случаи семейного рака яичников – и органоспецифического (только в придатках), и ассоциированного с другими опухолями (эндометрия, молочной железы).
При выявлении кисты у женщины из группы риска показано прицельное обследование для исключения рака яичников.
Можно ли отличить кисту от злокачественного образования? Ведущие симптомы
На начальных этапах развития симптомы рака и кисты схожи, поэтому отличить одно заболевание от другого практически невозможно.
Общие признаки опухолей яичников:
- Тянущая боль внизу живота. Возникает при росте образования до 5 см в диаметре. Боль отдает в поясничную область, уходит на ягодицы и бедро;
- Нарушение функции мочевого пузыря и прямой кишки отмечается при сдавлении этих органов. При росте образования наблюдается учащенное мочеиспускание, запоры.
Почти у 80% женщин злокачественная опухоль диагностируется на поздних стадиях. Рак отличается бессимптомным течением и зачастую обнаруживается при диссеминации атипичных клеток по организму.
Распространение злокачественной опухоли по организму приводит к появлению таких симптомов:
- Необъяснимая потеря веса;
- Повышение температуры тела;
- Изжога и тошнота;
- Вздутие живота, увеличение его размеров;
- Кровянистые вагинальные выделения.
Основные симптомы рака яичника
Все эти признаки не специфичны и встречаются при различных заболеваниях. На начальных стадиях рака не выявляются и говорят о запущенном процессе.
Отличительной чертой функционального образования яичников является его спонтанное исчезновение в течение 3 месяцев. Нередко лютеиновые и фолликулярные кисты уходят сразу после очередной менструации. Если образование рассосалось – это точно был не рак, и беспокоиться не о чем. Если опухоль осталась, показано ее удаление. Гистологический анализ, проведенный после операции, позволит отличить доброкачественный процесс от злокачественного.
Методы дифференциальной диагностики
При появлении первых жалоб нужно обратиться к врачу и пройти обследование:
Гинекологический осмотр
При бимануальном исследовании легко перепутать кисту и рак яичника. Во время осмотра врач находит округлое подвижное образование в проекции придатков. На этом этапе нельзя выставить точный диагноз и определить характер опухоли.
Определенное значение в диагностике злокачественных новообразований имеет осмотр лимфатических узлов. При кисте яичника лимфоузлы не увеличены, при пальпации они безболезненны. Рак дает метастазы, и лимфатические узлы увеличиваются в размерах, теряют подвижность. Клинически определить эту грань довольно сложно. Нередко даже пораженные опухолью лимфоузлы остаются нормальных размеров, что затрудняет диагностику. Многие структуры, по которым идет метастазирование раковых клеток, и вовсе не доступны для пальпации.
Лабораторная диагностика
Отличить кисту от рака помогает выявление онкомаркеров в крови:
CA-125 определяется у 88% женщин при раке яичников. Растет не только при злокачественных новообразованиях придатков, но и при опухолях другой локализации. Может быть повышен при эндометриозе и воспалении придатков.
Нормальные значения CA-125 не говорят однозначно о доброкачественном характере процесса. При раке яичников I стадии у половины женщин маркер остается в пределах нормы. Результаты не слишком показательны, однако за неимением других надежных методов анализ продолжает использоваться в гинекологической практике.
Ультразвуковое исследование
УЗИ позволяет выявить опухоль придатков, но не дает возможности определить ее клеточную структуру. Диагноз ставится косвенно на основании эхографических симптомов. В пользу злокачественного процесса говорят такие признаки:
- Неправильная форма образования;
- Неровный (бугристый) контур опухоли;
- Эхонегативное образование с множественными включениями;
- Многокамерная опухоль с большим числом перегородок.
Симптомы не слишком специфичны и выявляются далеко не всегда, однако могут рассматриваться как вероятные критерии рака яичников. В пользу малигнизации также говорит появление атипичного кровотока вокруг образования и выраженная васкуляризация капсулы (по результатам допплерометрии)
На фото ниже представлены для сравнения два ультразвуковых снимка. На первом снимке видно гипоэхогенное образование яичника без включений – предположительно киста. На втором снимке неоднородная структура образования и наличие включений говорят в пользу рака яичника:
Солидное или кистозно-солидное образование яичника – это еще не диагноз, а только ультразвуковой признак. Злокачественная опухоль может быть как простой, так и ячеистой, разделенной на камеры перегородками.
Пункция кисты яичника
Проводится при подозрении на раковую опухоль. Позволяет получить материал на исследование, однако на практике применяется не слишком часто. Повреждение опухоли во время пункции и аспирации содержимого повышает риск метастазирования и ухудшает прогноз заболевания.
Тактика при подозрении на злокачественное перерождение кисты яичника
Наблюдение за кистой яичника проводится в течение трех месяцев. За это время функциональные образования должны исчезнуть. Патологические кисты, истинные опухоли и рак регрессу не поддаются. Показано хирургическое лечение – удаление образования с обязательным гистологическим исследованием после операции.
При выявлении кисты яичника не нужно отказываться от операции. Если образование не ушло за 3 месяца, оно не пройдет самостоятельно. Некогда безобидная опухоль может быстро переродиться в рак, и тогда оперировать будет поздно. Лучше вовремя убрать подозрительное образование, чем жить в постоянном страхе.
Удаление кисты яичника проводится лапароскопическим или лапаротомным доступом (с разрезом брюшной стенки). Приоритет отдается малоинвазивным операциям. Современные технологии позволяют извлечь кисту или весь яичник через небольшие проколы. Лапароскопическая операция реже сопровождается развитием осложнений. Восстановление после малоинвазивного вмешательства занимает от 7 до 14 дней. Спустя 2 недели будет готов результат гистологического исследования, и женщина сможет точно выяснить тип опухоли и определиться с дальнейшей тактикой. Расшифровка анализа проводится гинекологом или онкологом.
Показания для удаления кисты яичника:
- Сохранение образования более 3 месяцев без тенденции к регрессу;
- Подозрение на рак яичника (по данным УЗИ и лабораторного обследования);
- Выявление опухоли яичника в постменопаузу или у девочки до начала полового созревания.
При подозрении на малигнизацию гистологическое исследование кисты проводится во время операции. Материал забирается в лабораторию, где дежурный гистолог в течение 15-20 минут дает заключение. Дальнейшая тактика будет зависеть от результатов анализа:
- Если образование доброкачественного характера, проводится его иссечение в пределах здоровых тканей (цистэктомия). При значительном поражении яичника показано его удаление (овариоэктомия);
- При пограничных и подозрительных образованиях проводится удаление яичника вместе с кистой. Яичник помещается в пластиковый мешок и только после этого извлекается. Такая тактика предупреждает распространение раковых клеток и метастазирование опухоли;
- Если киста злокачественная, объем операции расширяется. При неинвазивном раке возможно иссечение только пораженного яичника. Рак I стадии и более – показание для удаления матки вместе с придатками. Дополнительно может быть убран большой сальник, аппендикс, селезенка, забрюшинные лимфатические узлы – участки возможных метастазов. У молодых женщин органосохраняющие операции возможны только при тщательном исследовании противоположных придатков и матки. После хирургического лечения назначается лучевая терапия и химиотерапия.
Распространение рака яичников в зависимости от стадии заболевания.
Народные методы лечения при подозрении на малигнизацию кисты не применяются. В этой ситуации недопустимо ждать – нужно как можно скорее выставить диагноз и избавиться от опухоли. Рецепты альтернативной медицины не позволяют устранить опасную болезнь и не рассматриваются даже в качестве вспомогательного метода.
Кисты и опухоли яичника выявляются и во время беременности. При подозрении на малигнизацию образование нужно удалять. Операция проводится на сроке 14-20 недель. Объем вмешательства зависит от выявленной патологии и срока беременности:
- При обнаружении кисты или доброкачественной опухоли проводится ее удаление. Яичник по возможности сохраняется;
- При выявлении рака I стадии на ранних сроках беременности могут проводиться органосохраняющие операции. При раке II стадии и выше показано удаление матки с придатками. Беременность прерывается;
- При обнаружении злокачественной опухоли яичников после 22 недель показано кесарево сечение. После извлечения плода объем операции будет зависеть от стадии рака.
Прогноз при кисте яичника определяется ее типом. Доброкачественные образования не представляют угрозы для жизни и легко поддаются лечению. При малигнизации опухоли прогноз зависит от стадии патологического процесса. Чем раньше выставлен диагноз, тем больше шансов сохранить жизнь и здоровье женщины.
Киста яичника у женщин — это заполненное жидкостью новообразования на поверхности или внутри одного или обоих яичников. В 90% случаев киста является функциональной (фолликулярной или лютеиновой). Которая, при врачебном наблюдении, в целом «рассасывается» самостоятельно в течение 1-3 менструальных циклов. Но есть виды кист, которые требуют немедленно хирургического вмешательства и гормонального лечения: дермоидная и эндометроидная. Также очень важно заблаговременно диагностировать перерождение доброкачественной кисты в злокачественную опухоль.
Большинство врачей считают, что патология имеет место при гормональных сбоях, воспалительных процессах и апоптозе (программируемой смерти клеток). По статистике, формирование кисты яичника происходит в 7% половозрелых женщин, в том числе после менопаузы. Хотя в последнем случае эта патология довольно редкое явление, ведь появление кисты связана с менструальным циклом.
Очень важно наблюдение гинеколога за кистой в динамике, чтобы исключить разрыв кисты. Симптомы разрыва кисты яичника:
- повышенная температура, которая не «сбивается» обыкновенными жаропонижающими;
- острые боли в животе;
- тошнота, провоцирующая рвоту;
- кровотечение со слизистыми выделениями из матки;
- головные боли, головокружение, потеря сознания;
- малокровие (бледная кожа);
- понижение давления.
Такие симптомы сами по себе, даже без знаний о кисте яичника, вызывают переживания и должны стать причиной похода к врачу, если не вызова скорой помощи.
Последствия разрыва кисты яичника после и во время проявления симптомов не заставляют себя ждать. Жидкость, которая находится внутри кисты и должна удаляться фильтрующей системой в процессе регрессии патологии, попадает в брюшную полость. Кроме дискомфорта и болевых ощущений существует реальная опасность воспаления (перитонита), которая может угрожать здоровью и жизни женщины. Именно поэтому необходимо обращаться к врачу при первых же симптомах разрыва кисты яичника.
Чтобы не допустить разрыва кисты регулярно обследуйтесь у гинеколога, и при наличии кисты примите врачебные рекомендации. Специалист подскажет, когда киста не опасна и стоит подождать до начала регрессии, либо же назначит лапароскопию для сохранения здоровья женщины. Современные методы удаления кисты достаточно эффективны и просты, чтобы не бояться этой операции.
Те женщины, которые отказались от регулярных обследований, иногда попадают на хирургический стол в критический момент, когда киста прогрессирует до той степени, в которой приходится удалять и сам яичник. Забота о здоровье всецело зависит от самого человека, поэтому посещение гинеколога – личное дело каждого, но такие случаи заставляют задуматься женщин, планирующих зачатие ребенка.
Функциональные кисты. Причины, диагностика, лечение
Пожалуй, только функциональные кисты заслуживают наблюдения гинекологом в динамике. Функциональные кисты должны исчезнуть через 1-2 менструальных цикла. Если этого не произошло, киста – не функциональная, а патологическая.
Функциональная киста возникает в том случае, если фолликул в положенный срок не лопается. По каким причинам это может произойти, медики со стопроцентной точностью сказать затрудняются. Обычно вину возлагают на гормональные сбои. Функциональные кисты бывают двух видов:
- Фолликулярная – появляется в момент, когда яйцеклетка остается в фолликуле, который своевременно не лопнул, и в котором продолжает накапливаться жидкость;
- Лютеиновая (киста желтого тела) – формируется после выхода яйцеклетки из её фолликула, на месте желтого тела, которое не регрессировало.
Ни фолликулярная киста, ни киста желтого тела, как правило, не дают симптомов, поэтому об их существовании женщина не подозревает. Чаще всего пациентки узнают о них случайно, во время планового или назначенного из-за другой гинекологической проблемы УЗИ. Лишь иногда функциональная киста яичника может вызывать тянущие ощущения внизу живота или приводить к задержкам менструации.
Еще одной разновидностью функциональной кисты является геморрагическая киста, когда внутри фолликула или желтого тела разрываются кровеносные сосуды и происходит кровоизлияние, сопровождающееся болевыми ощущениями.
Существуют также дизонтогенетическая киста, образующаяся в результате нарушений роста и развития яичников в период полового созревания, а также киста-опухоль, которая даёт начало раку яичников.
Дермоидная киста. Причины, диагностика, лечение
Дермоидная киста яичника (тератома яичника) – содержит внутри капсулы кисты практически все ткани нашего организма. Чаще всего это жировая ткань, волосы, зубы, ногти, хрящи, кости. Своим происхождением дермоидная киста обязана эмбриональному зачатку, из которого и получаются в организме вышеперечисленные ткани. Подобные зачатки формируются у некоторых женщин в яичниковой ткани еще внутриутробно.
Иногда эти «эмбриональные зачатки» начинают развиваться. Чаще всего пусковым моментом служит стресс, травма, перенесенная операция и др. Так начинает расти дермоидная киста. Растет она медленно и совершенно незаметно для женщины. Обычно имеет округлую (при небольших размерах) или овально-вытянутую форму. В размерах дермоидная киста может достигать 10-15 см. Хотя чаще всего встречаются опухоли 5-7 см в диаметре.
Иногда, при первом обнаружении, дермоидную кисту можно спутать с кистой желтого тела или с эндометриоидной кистой. Для более точной диагностики можно использовать МРТ. Во время проведения МРТ жировая ткань становится хорошо различимой, что позволяет выставить правильный диагноз. Если нет возможности сделать МРТ, то непродолжительное наблюдение (1-3 месяца) поможет исключить кисту желтого тела.
При не осложненном течении женщина долгое время можете не догадываться о наличии у себя такой опухоли. При значительном же размере начинают появляться первые симптомы: тянущие боли или дискомфорт внизу живота, что и заставляет многих женщин начать обследование. Хотя при регулярном осмотре у гинеколога, особенно с УЗИ-контролем, дермоидные кисты без труда диагностируются уже в самом начале их развития.
По мере роста, опухоль вытесняет здоровую ткань яичника. Со временем, нормальное кровоснабжение не изменённой ткани яичника затрудняется за счет сдавления сосудов опухолью. И яичник начинает замещаться соединительной (рубцовой) тканью, которая более устойчива к нехватке кислорода и питательных веществ. Причем происходит это совершенно незаметно, ведь второй яичник полностью справляет с возросшей нагрузкой.
Увеличенный яичник может легко перекрутится, и тем самым резко перекрыть кровоток. Это так называемый перекрут кисты яичника. Обычно перекрут кисты происходит после интенсивной двигательной нагрузки (танцы, фитнесс и т.п.), сопровождается достаточно интенсивными болями. И все это заканчивается экстренной операцией. Ну и если уж говорить об осложнениях, то нельзя забывать и о злокачественном перерождении дермоидной кисты. К счастью, бывает это не так часто. По статистике — не более 2% (обычно в возрасте старше 45 лет).
Лечение дермоидной кисты может быть только хирургическим. И чем раньше произведено ее удаление, тем больше шансов спасти сам яичник. Хотя помимо времени большую роль играет квалификация и опыт хирурга. Кисту необходимо удалить так, чтобы максимально сохранить здоровую ткань яичника, но при этом еще и не вскрыть капсулу кисты. Ведь растекшийся между кишечником жир с волосами может вызывать в будущем довольно неприятные осложнения (вплоть до формирования межкишечных абсцессов).
Эндометроидная киста. Причины, диагностика, лечение
Эндометриоидная киста яичника – патологическое полостное образование на поверхности яичника, состоящее из скопившейся менструальной крови, окруженной оболочкой из клеток эндометрия. Эндометриоидная киста яичника (эндометриома, «шоколадная» киста) относится к группе заболеваний под общим названием «эндометриоз», и по праву считается одной из самых коварных. Связано это с особенностями течения эндометриоза.
Эндометриоидная киста яичника в одних случаях может длительно не проявляться, в других – сопровождаться аномальными менструациями, бесплодием, болями, вплоть до клиники «острого живота». Диагностика эндометриоидной кисты яичника основана на данных УЗИ и лапароскопии. Лечение эндометриоидной кисты яичника включает хирургическое удаление патологического образования и длительную гормональную терапию. Чаще всего поражает молодых, не рожавших женщин, почти всегда поражает несколько органов, лечится только оперативно, может появляться снова, может приводить к повышению онкомаркеров.
Формирование эндометриоидной кисты начинается с небольшого эндометриоидного очага на поверхности яичника. Под влиянием женских половых гормонов на протяжении каждого менструального цикла этот очаг увеличивается в размере (примерно также как и каждый месяц нарастает эндометрий в полости матки). Внутри очага во время менструации скапливается небольшое количество крови и начинает формироваться киста. Скапливающаяся кровь со временем превращается в тёмно-коричневую массу, напоминающую шоколад (отсюда ещё одно название эндометриоидной кисты – «шоколадная киста»).
Поскольку эндометриоз полностью зависим от женских половых гормонов, то встречается эндометриоидная киста в основном в молодом возрасте (чаще всего это 25-40 лет). Немаловажная роль принадлежит генетической предрасположенности к этому заболеванию. Но главную группу риска составляют нерожавшие женщины (или те, кто откладывает беременность «на потом»). Это связано с большим количеством менструаций на протяжении жизни. Ведь генетически женский организм запрограммирован лишь на небольшое количество менструаций. И большую часть времени он должен находиться либо в состоянии беременности, либо кормления грудью. Современная жизнь меняет естественный ход событий, что неминуемо ведет к росту числа гормонально-зависимых гинекологических заболеваний (эндометриоз, миома матки и т.п.).
Эндометриоидная киста яичника обычно хорошо видна при УЗИ-обследовании. Та самая «шоколадная масса», которая появляется в кисте из-за распада крови, на УЗИ выглядит как белая взвесь на темном фоне. Но самая большая проблема заключается в том, что точно так же выглядят и некоторые другие кисты. Скопление крови в желтом теле со временем дает точно-такую же картинку. И отличить старую кисту желтого тела от эндометриоидной очень сложно. Для того, чтобы все-таки разобраться с диагнозом приходится некоторое время понаблюдать за пациенткой. Киста желтого тела со временем самостоятельно (или на фоне гормонального лечения) проходит. За 1-3 месяца она или полностью исчезает или значительно уменьшается в размере. С эндометриоидной кистой за это время практически ничего не происходит или она может даже подрасти. Очень редко, на фоне гормонального лечения, она может немного уменьшится, но полностью она не исчезает.
Другая киста, которая дает похожую картинку на УЗИ — это дермоидная киста. Только в ней белую взвесь на темном фоне дает не старая кровь, а жир, который всегда содержится в дермоидной кисте. При подозрении на дермоидную кисту необходимо сделать МРТ в особом режиме, который позволяет увидеть жировую ткань.
При эндометриоидной кисте (как и при любой другой) необходимо проводить обследование крови на уровень онкомаркеров. При эндометриозе часто повышается уровень СА-125 (до 100 Ед/мл), но это вовсе не значит, что у вас онкология. Это просто такая особенность заболевания.
Из симптомов многие пациентки отмечают болевой синдром. Чаще всего это боли внизу живота, в проекции кисты, которые появляются накануне и/или в начале менструации. Подобная боль связана с тем, что при эндометриозе отторгающиеся при менструации ткани расположены не только в полости матки, но и в эндометриоидных очагах (в кисте). Соответственно, суммарная площадь отторгающихся клеток увеличена. А это неминуемо ведет к нарастанию болезненных ощущений при менструации.
При распространенном эндометриозе появляются боли при половых контактах. Такая боль объясняется тем, что эндометриоз практически всегда поражает несколько органов и вызывает образование в малом тазу спаек (сращение между разными органами). Также вокруг эндометриоидных очагов всегда протекает воспаление (неинфекционное, то есть без микробов!). Все это и приводит к серьезным проблемам с половой жизнью.
Еще один частый симптом — это коричневые мажущие выделения до или после менструации. Длительность таких выделений может быть от одного дня до недели. Встречаются они примерно у трети женщин с эндометриоидной кистой яичника. Но связаны эти выделения не с самой кистой. Их источник — эндометриоз матки (по другому его называют аденомиоз). При этой патологии эндометриоидные очаги расположены в стенке матки, что вызывает увеличение отторгающейся во время менструации ткани.
Другим, крайне неприятным симптомом эндометриоидной кисты яичника является проблема с наступлением беременности. Не смотря на то, что гипотез бесплодия при эндометриозе достаточно много, истинный механизм до конца не изучен.
Лечение эндометриомы должно быть только оперативным! Длительный прием различных препаратов, (в том числе гормональных) никогда не избавят Вас от опухоли. Не смотря на это, тысячи пациенток откладывают операцию, не задумываясь о последствиях (бесплодие, отсутствие яичника и др.)
Но хирургическое лечение эндометриоидной кисты яичника является только первым обязательным этапом. Причём самым важным этапом, так как от этого напрямую зависит успех всех остальных лечебных мероприятий. Лапароскопия при эндометриоидной кисте имеет ряд особенностей, которые нужно обязательно учитывать во время проведения операции.
Во-первых, к капсуле (оболочке) эндометриоидной кисты всегда плотно припаиваются молодые фолликулы, содержащие яйцеклетки. При грубом удалении кисты эти молодые яйцеклетки также удаляются из яичника. Из-за этого после операции еще больше снижается фолликулярный резерв и могут возникать проблемы с беременностью.
Во-вторых, киста практически всегда располагается в области крупных сосудов, питающих яичник от матки. Это требует от хирурга хорошего навыка проведения подобных операций. В противном случае, при повреждении таких сосудов, кровоснабжение яичника нарушается, что неминуемо ведет к ухудшению его работы.
В-третьих, эндометриоидная киста яичника редко встречается «в одиночку». Практически всегда имеются разной величины эндометриоидные очаги и в других местах (поверхность, брюшины, мочевого пузыря, связок т.п.). Для максимального эффекта от операции, удаление эндометриоидной кисты должно сопровождаться иссечением всех доступных очагов. Иначе толку от такой лапароскопии будет немного. Даже небольшие оставленные островки эндометриоза уже через несколько месяцев могут дать бурный рост.
Чтобы этого избежать, помимо качественно выполненной операции, после удаления эндометриоидной кисты необходимо проводить гормональное лечение. Поскольку вся эндометриоидная ткань растет только под влиянием собственных гормонов, то подобное лечение способствует остановке роста эндометриоза и дает организму возможность самостоятельно избавиться от всех микроскопических очагов. В арсенале гинекологов сегодня имеется большое количество таких препаратов. Не нужно бояться того, что вы поправитесь, что начнут расти усы и выпадать волосы. Всё это мифы прошлого столетия. Они не имеют ничего общего с современными препаратами.
К сожалению, эндометриоз — это хроническое заболевание, поэтому он может возвращаться и давать новый рост кисты. Для того, чтобы снизить этот риск, вам нужно иметь хорошего хирурга и грамотного гинеколога-эндокринолога. Это два звена одной цепи. Даже если качественно удалена эндометриоидная киста, операция дополнена иссечением всех эндометриоидных очагов, то, по сути, хирург устраняет следствие, но не причину заболевания.
После операции для пациентки с эндометриозом крайне необходимы 2 вещи: беременность (предпочтительнее) или гормональные препараты. Они действуют на первопричину появления эндометриоза и на сегодняшний день остаются лучшим способом профилактики как первичного появления, так и рецидива кисты. Не пренебрегайте этим, и эндометриоз больше никогда не вернется в вашу жизнь.
После удаления эндометриоидной кисты яичника в большинстве случаев значительно уменьшаются боли, восстанавливается нормальная менструальная и детородная функции. После лечения эндометриоидной кисты яичника рекомендуется динамическое наблюдение гинеколога с УЗИ – контролем и исследованием уровня СА-125.
Киста и рак
Кисты и опухоли яичников по степени злокачественности новообразования подразделяются на три типа:
- Доброкачественные образования и кисты
- Пограничные образования яичников
- Злокачественные образования (опухоли) яичников
Доброкачественные образования (кисты) яичников чаще встречаются у молодых женщин и могут быть связаны с таким заболеванием, как эндометриоз (когда клетки эндометрия, внутреннего слоя стенки матки, разрастаются за пределами этого слоя), а также могут быть следствием нарушения менструального цикла.
Пограничные опухоли яичников чаще встречаются у женщин после 30 лет. Под микроскопом кисты можно определить как злокачественные, но они имеют клиническое течение, больше напоминающее доброкачественные образования. Пограничные опухоли в редких случаях становятся причиной распространения метастазов (отсевов), но часто провоцируют рецидивы (когда спустя время опухоль возвращается на яичнике или появляется в другом месте) – в этих случаях необходимы повторные операции. Химиотерапия в этом случае не эффективна.
Злокачественные опухоли яичников (рак яичников) в большинстве случаев встречаются у женщин после наступления менопаузы. К сожалению, 80% пациенток обращаются к врачу лишь с проявлением симптомов – на третьей-четвертой стадии заболевания. В этих случаях выполняют максимально радикальные операции, направленные на удаление всех опухолевых узлов из брюшной полости, после операции (в некоторых случаях и до операции) проводится химиотерапия. Несмотря на позднюю стадию при обращении, 30-40% пациенток имеют шансы на полное излечение.
Точно определить, доброкачественная киста или злокачественная (пограничная), можно только после удаления кисты или яичника с кистой в процессе операции. Все методики предоперационной диагностики (УЗИ, онкомаркеры, анализ симптомов) являются приблизительными и не дают 100% ответа на вопрос о злокачественности.
Онкомаркеры – это специфические вещества, возникающие в биологических жидкостях пациентов в результате жизнедеятельности раковых клеток. Наиболее часто исследуемым в крови онкомаркером при образованиях яичников является СА-125. Его часто определяют при обнаружении кист или образований яичников.
Если киста (образование) яичника не слишком крупная, составляет менее 7-9 сантиметров в диаметре и не вызывает особых подозрений на предмет ее злокачественности по результатам УЗИ – выполняется минимально инвазивная процедура – лапароскопия яичника.
Стоит отметить, что подавляющее большинство кист яичников попадают в эту категорию и лечатся путем лапароскопической операции, дающей отличные косметические результаты, минимальную кровопотерю во время операции и быстрое восстановление. Если киста слишком крупная и не может быть безопасно извлечена из брюшной полости через маленькие лапароскопические отверстия, выполняется полостная операция.
Если по данным УЗИ или компьютерной томографии (КТ) или онкомаркеров крови есть основательно подозрение, что образование злокачественное, в этом случае выполняется полостная операция.
Существует ошибочное мнение, что некоторые гормональные препараты способствуют рассасыванию кисты, однако никаких доказательств действенности этого способа в медицинской литературе нет.
В некоторых случаях киста рассасывается самостоятельно (функциональная киста), но это, как правило, происходит спонтанно, а не из-за применения гормональных препаратов. Применение гормональных (контрацептивных) препаратов действительно оправдано лишь в единственном случае — для профилактики повторного образования функциональных и других доброкачественных кист яичников. Более того, применение гормональных контрацептивов в течение 5 лет и более (суммарно за жизнь женщины) снижает риск развития рака яичников на 40%.
Обследования и анализы кисты яичника
Для диагностики данной патологии используют:
- КТ (компьютерная томография) и МРТ (магнитно-резонансная томография).
- Трансвагинальное обследование ультразвуком.
- Лапароскопия, с попутным удалением кисты при обнаружении.
- Анализ гормонов: ЛГ и ФСГ, эстроген и тестостерон.
- Пункция дугласова кармана (заднего свода влагалища) при подозрении на внутренне кровотечение вследствие разрыва кисты.
- Анализ на онкомаркеры СА-125 и НЕ-4 для исключения рака яичника.
- Также обязательным являются анализы на беременность, не только потому что лечение беременных и небеременных отличается, а ещё чтобы исключить внематочную беременность, симптомы которой сходны с симптомами кисты яичника.
Некоторые пациентки, у которых появилась данное образование, задают докторам вопрос: может ли киста яичника перерасти в рак? Ответ на него будет зависеть от типа новообразования, временного промежутка его обнаружения, отягощающих факторов, а также от результатов наблюдения за ним.
Какие кисты яичников перерождаются в злокачественные
На стадии формирования образований каждое из них имеет доброкачественный характер. Со временем в некоторых возникают злокачественные клетки, способные перерасти в онкологию. Полостные пузырьки имеют небольшие размеры, они могут появляться и самостоятельно рассасываться на протяжении менструального цикла.
Согласно статистике, кисты редко перерождаются в злокачественную опухоль. Проблема заключается в том, что злокачественный процесс на начальной стадии может имитировать данное образование на обследовании. Это усложняет правильную постановку диагноза и сокращает шансы на полное выздоровление женщины.
На сегодня различают несколько видов опухолей:
- доброкачественные – полости небольшого размера или фолликулярного типа;
- предраковые новообразования дермоидные и эндометриоидные;
- онкология яичника.
Именно предраковые новообразования представляют опасность и могут перерасти в онкологию. Они разрастаются до крупных размеров, начиная давить на соседние органы и причиняют дискомфорт женщине.
Как часто киста яичника перерождается в рак
В зависимости от разновидности пограничной кисты, которая рискует перерасти в рак, будет определяться процент вероятности перерождения. На данный фактор также влияют такие показатели:
- Возраст женщины. Чем старше женщина, тем выше риск новообразования перерасти в онкологию. Например, обнаруженные в период менопаузы полостные пузырьки подлежат удалению, а если они диагностированы в раннем возрасте – за ними наблюдают и лечат консервативно.
- Временной промежуток обнаружения. Если полостную опухоль пограничного типа обнаружили, когда ее ткани начали разрастаться и давить на соседние органы, есть риск, что новообразование перерастет в рак. Поэтому каждой женщине независимо от возраста рекомендуется посещать гинеколога дважды за год.
- Тип. Дермоидные кисты перерождаются в 2% всех случаев, а эндометриоидные перерастают в рак еще реже.
Все образования пограничного типа, а также серозные и муцинозные, подлежат обязательному диагностированию и последующему удалению. Риск появления таких полостей повышается с 30 до 50 лет.
Киста яичника или рак: как отличить
Наибольшую сложность при диагностике представляет проблема отличия раковой кисты яичника от доброкачественной. Чтобы с точностью определить этиологию, врачи проводят ряд обследований и анализов.
В большинстве случае обнаруженная на УЗИ полость является доброкачественной, но если внутри скрывается онкология, то диагностировать ее необходимо сразу. Методами диагностики, чтобы отличить рак от доброкачественного образования, будут:
- УЗИ, проведенное через 2 месяца после первичного исследования, на котором была обнаружена киста;
- лабораторные исследования: общий и биохимический анализ крови, где результаты представлены измененными показателями;
- определение уровня СА-125 – онкопоиск рака яичников;
- при наличии кровянистых выделений производят гистологическое исследование;
- МРТ по показаниям.
На первичном УЗИ нельзя сказать, рак это или киста, поэтому гинеколог назначает повторное обследование. На нем видно: если образование рассосалось или уменьшилось в размерах, то оно было доброкачественным. Если оно растет и увеличивается, то нередко перерастает в рак. Подробнее о первых проявлениях рака можно узнать из видеоролика:
Наблюдение кисты и ранняя диагностика рака яичников
Сложность ранней диагностики заключается в невозможности грамотно оценить состояние кисты и по УЗИ выявить ее природу. Многие пациентки обращаются за помощью, когда опухоль уже начала перерастать в рак на 3-4 стадии. На данном этапе процент пятилетней выживаемости гораздо ниже, чем при обнаружении на ранних стадиях. Трудности также возникают при сдаче анализов на онкомаркер СА-125:
- на раннем этапе часть опухолей ракового типа не продуцирует такое количество белка, которое можно диагностировать с помощью лабораторных данных;
- белок СА-125 зачастую реально выявить на поздних стадиях рака, когда киста уже успела перерасти, что существенно снижет выживаемость пациентки.
Получить ткани на обследование также тяжело, так как врачи не делают эти обследования при наличии кисты, полагаясь на ее доброкачественную природу. Основной целью является наблюдение за новообразованием. Нормальный его размер не превышает диаметра 6-7 см, имеет тонкую капсулу, может увеличиваться за счет накопления жидкости внутри, однако проходит через 2-3 месяца.
Заключение
Изучив информацию о том, может ли киста яичника перерасти в рак, следует сделать вывод: киста перерастает в рак только при наличии пограничных опухолей в яичниках, на поздней стадии обнаружения в возрасте от 30 до 50 лет. Регулярное посещение гинеколога поможет предупредить риск онкологии.




