Перелом плюсневой кости стопы — распространенная травма, возникающая из-за падения, удара или чрезмерной нагрузки. Плюсневые кости обеспечивают стабильность и функциональность стопы, и их повреждение ограничивает подвижность и качество жизни. В статье рассмотрим причины, симптомы, диагностику и лечение переломов плюсневых костей, а также рекомендации по реабилитации. Информация будет полезна как пациентам с данной травмой, так и специалистам по лечению травм опорно-двигательного аппарата.
Актуальность проблемы
Согласно актуальным статистическим данным, переломы плюсневых костей составляют от 5% до 6% всех случаев переломов костей скелета. Этот тип травмы встречается как у мужчин, так и у женщин в равной степени. Наиболее часто наблюдаются переломы пятой и четвертой плюсневых костей, что связано с их анатомическим расположением, в то время как повреждения третьей плюсневой кости случаются значительно реже.
Все кости стопы человека формируют сложный и многофункциональный механизм, который обеспечивает движение и выдерживает значительные нагрузки различного характера. Они играют важную роль в амортизации ударов при каждом шаге.
В стопе насчитывается 26 костей, которые находятся в тесной взаимосвязи друг с другом. Если в результате травмы произойдет повреждение или смещение одной из этих костей, это может вызвать деформацию и нарушить функциональность других костей.
Перелом плюсневой кости стопы является распространенной травмой, особенно среди спортсменов и людей, ведущих активный образ жизни. Эксперты отмечают, что такие переломы могут возникать в результате прямого удара, падения или чрезмерной нагрузки на стопу. Важно своевременно обратиться за медицинской помощью, так как неправильное лечение может привести к осложнениям и длительному восстановлению. Врач-ортопед подчеркивает, что диагностика включает рентгенографию, которая позволяет точно определить степень повреждения. Реабилитация, как правило, включает физиотерапию и специальные упражнения для восстановления подвижности и силы. Специалисты также рекомендуют использовать ортопедическую обувь на этапе восстановления, чтобы минимизировать риск повторной травмы.

Группы риска:
- Люди в возрасте от 20 до 40 лет;
- Мужчины, увлеченные спортом;
- Игроки в футбол;
- Танцовщицы балета.
| Тип перелома | Симптомы | Лечение |
|---|---|---|
| Перелом диафиза | Сильная боль в стопе, отек, деформация стопы, невозможность наступать на ногу. | Иммобилизация гипсовой повязкой на 6-8 недель, оперативное лечение (в случае смещения отломков). |
| Перелом основания V плюсневой кости (перелом Джонса) | Боль в латеральной части стопы, отек, ограничение подвижности. | Иммобилизация гипсовой повязкой на 6-8 недель, иногда требуется оперативное лечение. |
| Перелом шейки V плюсневой кости | Боль в латеральной части стопы, отек, гематома. | Консервативное лечение (иммобилизация, обезболивание), в некоторых случаях оперативное вмешательство. |
| Стрессовый перелом | Тупая боль в стопе, усиливающаяся при нагрузке, отек может отсутствовать. | Покой, снижение нагрузки, ортезы, в тяжелых случаях – гипсовая иммобилизация. |
| Аваскулярный некроз головки плюсневой кости | Боль, отек, ограничение подвижности, возможно изменение цвета кожи. | Лечение зависит от стадии заболевания, может включать консервативные методы (покой, обезболивание) или оперативное вмешательство. |
Интересные факты
Вот несколько интересных фактов о переломах плюсневой кости стопы:
-
Частота травм: Переломы плюсневых костей составляют около 5-10% всех переломов костей у людей. Они часто возникают в результате травм, таких как падения, спортивные травмы или удары по стопе.
-
Разнообразие типов переломов: Переломы плюсневых костей могут быть как открытыми, так и закрытыми, а также могут варьироваться по степени тяжести — от небольших трещин до полного разрушения кости. Некоторые переломы могут быть связаны с повреждением связок и суставов, что требует более сложного лечения.
-
Влияние на мобильность: Переломы плюсневых костей могут значительно ограничить подвижность человека, так как они играют ключевую роль в поддержании равновесия и способности передвигаться. Восстановление после такого перелома может занять от нескольких недель до нескольких месяцев, в зависимости от тяжести травмы и выбранного метода лечения.

Анатомия стопы человека
- Плюсневые кости. Это пять длинных костей, которые находятся между костями предплюсны и фалангами пальцев. Основная функция плюсневых костей заключается в том, что они обеспечивают активное движение стопы, выполняя роль рычага при ходьбе, беге и прыжках;
- Фаланги пальцев ног. У первого пальца ноги имеется две фаланги, в то время как остальные пальцы состоят из трех. В общей сложности на каждой ноге насчитывается 14 фаланг;
- Три клиновидные кости. Они получили свое название благодаря клиновидной форме. Эти кости располагаются между ладьевидной костью и первыми тремя плюсневыми костями;
- Кубовидная кость (находится на внешней стороне стопы);
- Ладьевидная кость (имеет слегка уплощенную форму спереди и сзади, расположена в передней части стопы);
- Таранная кость (вторая по размеру среди костей предплюсны);
- Пяточная кость (сесамовидная кость стопы).
Если у человека произошел перелом плюсневых костей в результате травмы, ему следует незамедлительно обратиться к квалифицированному травматологу-ортопеду.
Виды переломов
Перелом плюсневых костей представляет собой повреждение их анатомической структуры, вызванное воздействием травмирующих факторов.

Классификация переломов:
- Травматические;
- Усталостные (или стрессовые).
Линия перелома:
- Косой;
- Поперечный;
- Клиновидный;
- Т-образный.
Давайте подробнее рассмотрим характеристики клинической картины и подходы к лечению каждого типа перелома плюсневых костей.
Травматические переломы
Основными факторами, приводящими к такому типу перелома, являются удар по стопе тяжелым предметом или ее вывих во время ходьбы или бега.
Существует несколько видов переломов:
- Со смещением костных фрагментов;
- Без смещения костных фрагментов;
- Открытые;
- Закрытые.
Если у пострадавшего наблюдается перелом плюсневых костей без смещения, то фрагменты поврежденной кости остаются в своем нормальном анатомическом положении. В случае открытого перелома происходит нарушение целостности кожи, и из раны могут быть видны части костей.
Открытые переломы плюсневых костей представляют собой серьезную угрозу из-за высокого риска инфицирования и возможного развития таких опасных осложнений, как флегмона, сепсис, остеомиелит, столбняк и гангрена.
Основные клинические признаки:
- Боль в области перелома плюсневых костей может проявиться сразу после травмы или спустя некоторое время.
- В момент получения травмы пациент может услышать характерный хруст сломанных костей.
- Плюсневая кость может смещаться в сторону.
- У пациента может наблюдаться укорочение пальца на стопе.
- У пострадавшего стопа отекает в день травмы или на следующий день.
Перелом Джонса
В области травматологии существует особый тип перелома плюсневых костей, известный как перелом Джонса. Этот перелом локализуется у основания пятой плюсневой кости и отличается крайне медленным процессом сращивания отломков. У некоторых людей кость в этом районе может вообще не срастаться.
Часто, когда пациенты обращаются за медицинской помощью, им ставят ошибочный диагноз и назначают лечение растяжения связок стопы. Подобный подход может привести к серьезным последствиям.
Усталостные переломы
Этот тип переломов проявляется в виде едва заметных трещин, которые сложно выявить на рентгеновских снимках.
Причины:
- Сильные физические нагрузки на стопу;
- Часто встречаются у спортсменов, занимающихся бегом, особенно при резком увеличении дистанции в марафонах;
- Аномальная форма или структура плюсневых костей;
- Деформация стопы;
- Ношение слишком узкой обуви;
- Нередко наблюдаются у балерин и профессиональных танцовщиц;
- Остеопороз (на нашем сайте вы можете пройти простые тесты, чтобы оценить риск развития остеопороза).
Такого рода переломы требуют обязательного своевременного и адекватного лечения, так как со временем они могут привести к серьезным последствиям.
Основные клинические признаки усталостного перелома:
- Боль в стопе возникает после физической активности (длительная ходьба или бег);
- Болевые ощущения могут утихать после короткого отдыха, но вновь усиливаются при ходьбе или длительном стоянии;
- При пальпации стопы пациент может указать на точечную боль в области перелома;
- Визуально стопа в месте перелома может быть немного отечной, но обычно отсутствуют синяки.
Если у вас появились указанные симптомы, обязательно обратитесь к врачу-травматологу. Перелом плюсневых костей и растяжение связок стопы имеют схожие проявления. Некоторые пациенты ошибочно полагают, что если они могут передвигаться, то медицинская помощь не требуется: «Со временем все само собой пройдет». Однако запоздалая диагностика и неправильное лечение усталостных переломов плюсневых костей могут привести к серьезным осложнениям, исправить которые будет крайне сложно.
Какие бывают осложнения:
- Костная структура стопы претерпевает изменения, что ограничивает ее подвижность и затрудняет выбор обуви;
- У некоторых пациентов может возникнуть перелом плюсневых костей в области их соединения, что со временем приводит к развитию артроза;
- Если после перелома не проведена медицинская процедура по восстановлению смещенных костей, это может привести к угловой деформации;
- Пациенты испытывают постоянные боли в области стопы;
- Больной не способен долго находиться на ногах или ходить, его ноги быстро устают, особенно стопы;
- В случаях, когда сращение перелома затягивается, пациенту может потребоваться хирургическое вмешательство.
Диагностика
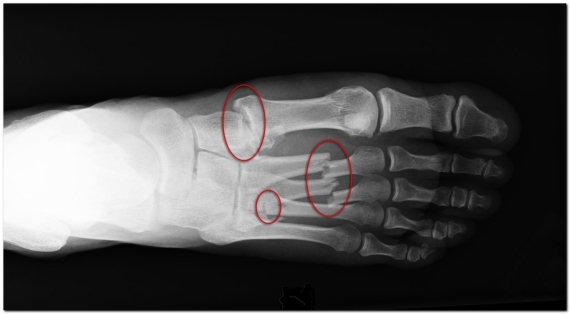
При диагностике перелома плюсневых костей учитываются анамнез (наличие травмы), жалобы пациента, результаты объективного осмотра стопы и данные рентгенологического исследования.
Лечение
Тактика лечения переломов плюсневых костей определяется их характером, локализацией и наличием смещения отломков.
Методы лечения в современной травматологии:
- Гипсовая повязка. Этот способ иммобилизации чаще всего используется при переломах плюсневых костей без смещения. Гипс защищает кости стопы от внешних воздействий, способствует правильному анатомическому расположению фрагментов и обеспечивает неподвижность стопы, что ускоряет процесс заживления.
- Хирургическое вмешательство. В случае смещения костных отломков после травмы требуется операция, в ходе которой осуществляется сопоставление и фиксация отломков с помощью миниимплантов (остеосинтез).
- Независимо от выбранного метода лечения (оперативного или консервативного) пациенту рекомендуется использовать костыли на протяжении всего периода иммобилизации, чтобы избежать нагрузки на травмированную стопу.
- После снятия иммобилизирующей повязки пациент должен пройти курс реабилитации, чтобы вернуться к активной жизни и восстановить функциональность стопы.
Современные медицинские достижения, особенно в области остеосинтеза, позволяют врачам сопоставлять фрагменты костей и фиксировать их в правильном положении. В процессе оперативного лечения осуществляется внутрикостная фиксация с помощью стержня, что позволяет пациенту начать нагружать стопу и увеличивать объем активных и пассивных движений пальцами на ранних этапах.
Показания для применения внутрикостного остеосинтеза:
- Лечение поперечных и косых переломов диафиза плюсневых костей со смещением, которые не поддаются закрытой репозиции;
- Переломы плюсневых костей в нескольких местах одновременно.
Внутрикостный остеосинтез не применяется в следующих случаях:
- При внутрисуставных переломах плюсневых костей;
- При продольных переломах плюсневых костей;
- При переломах в области шеек и головок плюсневых костей.
В период восстановления пациенту назначаются лечебная гимнастика и физиотерапия.
Особенности лечения перелома диафиза и шейки плюсневых костей без смещения
Существует несколько методов лечения:
- Эластичное бинтование;
- Задняя гипсовая лонгета;
- Короткая съемная гипсовая или пластиковая шина;
- Жесткий пластиковый короткий сапожок, позволяющий передвигаться с контролируемой нагрузкой с помощью костылей;
- В случае смещения костных отломков более чем на 3-4 мм необходимо провести репозицию. Открытая репозиция осуществляется во время хирургического вмешательства с использованием пластины. Закрытая репозиция костных фрагментов выполняется с помощью чрезкожной фиксации спицами Киршнера.
Зачем нужна иммобилизация
Покой и ограничение движений при переломе плюсневых костей крайне важны для снижения остроты травматических изменений, а также для предотвращения вторичного смещения и создания оптимальных условий для срастания костей.
Если у пациента произошел перелом плюсневых костей без смещения отломков, после обязательной консультации с врачом-травматологом стандартную гипсовую повязку можно заменить на специализированный ортез.
При использовании ортеза допустимо осуществлять физическую нагрузку на ногу, однако следует делать это так, чтобы не вызвать усиление болевого синдрома и отечности мягких тканей стопы.
Во время иммобилизации стопы с помощью правильно подобранного ортеза пациенту могут быть назначены обезболивающие препараты, физиотерапевтические процедуры, сосудистые средства и различные мази для уменьшения отека. После снижения отека мягких тканей ноги, примерно через 5-7 дней, рекомендуется провести контрольную рентгенографию.
Пятая плюсневая кость
Современная травматология и хирургия часто сталкиваются с переломами пятой плюсневой кости. Эта кость, расположенная ближе к внешнему краю стопы, подвержена различным травмам. Повреждение обычно происходит при выворачивании стопы. Клинические проявления перелома пятой плюсневой кости включают отек в области травмы и сильную боль. Пострадавший не в состоянии ходить и опираться на поврежденную ногу.
Переломы плюсневой кости могут возникать в различных местах: у основания, в средней части или на верхушке.
Виды перелома 5 плюсневой кости:
-
Отрывной перелом. Данный тип костного повреждения возникает из-за отрыва фрагмента кости под воздействием натяжения, создаваемого прилегающими сухожилиями. Чаще всего такие переломы наблюдаются у людей, которые подвернули стопу внутрь. Установить диагноз может быть сложно, особенно если травма сопровождается переломом или растяжением связок голеностопного сустава.
-
Перелом Джонса. Этот перелом происходит на границе между проксимальной частью диафиза и метафизом. Данная область имеет плохое кровоснабжение, что приводит к длительному или даже отсутствующему сращению костных фрагментов. Пятая плюсневая кость обладает особыми характеристиками: она имеет больший диапазон движений по сравнению с другими плюсневыми костями, что негативно сказывается на ее стабильности при травмах. Механизм повреждения заключается в приложении силы как в вертикальном, так и в медиолатеральном направлении к основанию пятой плюсневой кости, когда стопа находится в положении подошвенного сгибания. Перелом Джонса чаще всего возникает у людей, подвергающихся циклическим стрессовым нагрузкам.
Признаки перелома:
- Отек в области стопы;
- Болевые ощущения при нажатии;
- Синяк в зоне травмы кости;
- Пострадавший испытывает сильную боль и не может передвигаться;
- Пациент не способен опираться на травмированную стопу.
Диагностика
-
Анамнез. Стрессовые переломы пятой плюсневой кости у пострадавших возникают в результате резкого увеличения физической активности на стопу.
-
Жалобы пациента. У некоторых людей, занимающихся спортом на регулярной основе, наблюдаются жалобы на боль в области стопы, которая проявляется исключительно при нагрузке. Со временем симптомы усиливаются, и у пациента формируется яркая клиническая картина «свежего» перелома.
-
Объективное обследование. В процессе клинического осмотра врач-травматолог обязан провести пальпацию обеих лодыжек, ладьевидной кости и основания пятой плюсневой кости.
-
Рентгенологическое обследование. При наличии подозрений на перелом пятой плюсневой кости выполняется рентгенография стопы в трех проекциях: переднезадней, боковой и косой.
-
В наиболее сложных случаях могут быть использованы иные методы лучевой диагностики, такие как МРТ или сцинтиграфия с технецием.
Лечение
После получения травмы пациенту следует обратиться к хирургу-травматологу.
Первая помощь до госпитализации:
- Обеспечьте покой для поврежденной стопы;
- На область пятой плюсневой кости следует наложить холод. Чтобы уменьшить болевые ощущения и отечность мягких тканей, приложите к месту травмы пакет со льдом через салфетку. В домашних условиях можно использовать полотенце, в которое завернут лед из морозильника. Холод нужно прикладывать к поврежденной области на 20 минут каждый час. Не рекомендуется прикладывать лед непосредственно на кожу;
- Можно забинтовать стопу эластичным бинтом или надеть компрессионный чулок для снижения отека мягких тканей. При бинтовании важно действовать осторожно, чтобы не нарушить кровообращение в конечности; бинтование должно быть равномерным (один виток бинта немного перекрывает другой);
- Поврежденной стопе следует придать приподнятое положение. Пациенту рекомендуется разместить стопу на уровне бедра или чуть выше;
- Наложите шину на стопу;
- Обратитесь за медицинской помощью в ближайший травмпункт.
Лечение перелома пятой плюсневой кости:
- Иммобилизация с помощью гипсовой повязки;
- Для исключения нагрузки на стопу пациенту следует использовать костыли;
- Если у пациента диагностирован перелом пятой плюсневой кости со смещением, необходимо оперативное вмешательство. В ходе операции хирург-травматолог сопоставляет фрагменты кости и фиксирует их с помощью миниимплантов;
- Переломы костей стопы требуют внимательного наблюдения как со стороны врача, так и пациента, а также тщательного ухода со стороны медицинского персонала.
Как восстановиться после травмы
При переломе плюсневых костей пациенту необходимо носить гипсовую повязку как минимум полтора месяца.
Травматолог разрешает наступать на поврежденную ногу только после того, как контрольная рентгенограмма подтвердит полное сращение перелома. Самостоятельное снятие гипсовой лангеты до назначенного времени строго запрещено. В процессе восстановления крайне важно правильно распределять физическую нагрузку. В первые дни пациенту следует передвигаться, опираясь только на пятку, постепенно увеличивая нагрузку на всю стопу. Врач обязательно назначит курс лечебной физкультуры, который поможет ускорить восстановление физиологических функций стопы и вернуть пациента к привычной жизни. Если во время выполнения упражнений возникают болевые ощущения, занятия следует прекратить.
В период реабилитации пациентам рекомендуется начать плавание. Упражнения в воде помогут эффективно восстановить функции стопы при минимальных нагрузках.
В этот период обязательно назначаются массаж и физиотерапевтические процедуры. Также можно самостоятельно делать теплые ванночки с добавлением соли или лекарственных трав. Если нога сильно отекает, можно использовать мази «Лиотон 1000» или «Троксевазин».
Восстановление функций стопы обычно происходит через месяц после снятия гипса. Для укрепления кости пациенту необходимо правильно питаться, включая в рацион продукты, богатые кальцием и витаминами.
Некоторым пациентам врач может рекомендовать ношение специальной ортопедической обуви или стелек.
Учитывая, что стопа пациента долгое время была в состоянии покоя, для быстрого восстановления ее функций рекомендуется выполнять простые упражнения в домашних условиях.
«Домашняя зарядка» для стопы:
- Сгибайте пальцы ног;
- Разгибайте пальцы ног;
- Сидя на табурете, поднимайтесь на носочки и опускайтесь на пятки;
- Положите под стопу небольшой кусочек черенка от лопаты и катайте его, массируя стопу;
- Натягивайте стопу на себя (10-15 раз);
- Отводите стопу от себя (10-15 раз);
- Поворачивайте стопу влево (10 раз);
- Поворачивайте стопу вправо (10 раз);
- Все эти упражнения можно выполнять с использованием резинки, создавая дополнительное сопротивление для стопы.
Прогноз и реабилитация
Перелом плюсневой кости стопы, как и любое другое повреждение опорно-двигательного аппарата, требует внимательного подхода к лечению и реабилитации. Прогноз восстановления зависит от множества факторов, включая тип перелома, возраст пациента, общее состояние здоровья и соблюдение рекомендаций врача.
В большинстве случаев, при правильно проведенном лечении, прогноз на полное восстановление является благоприятным. Переломы плюсневых костей, как правило, заживают в течение 6-8 недель. Однако, в случае сложных переломов, сопровождающихся смещением или повреждением мягких тканей, процесс заживления может занять больше времени.
Реабилитация после перелома плюсневой кости включает несколько этапов. На первом этапе, который обычно продолжается 2-4 недели, основное внимание уделяется снижению болевого синдрома и отека. В этот период рекомендуется соблюдать покой, использовать лед для уменьшения воспаления и, при необходимости, принимать обезболивающие препараты.
После снятия гипса или шины, начинается второй этап реабилитации, который включает в себя физиотерапию и лечебную физкультуру. Упражнения направлены на восстановление подвижности, силы и координации. Важно начинать с легких упражнений, постепенно увеличивая их интенсивность. Специалисты могут рекомендовать такие методы, как ультразвуковая терапия, электрофорез или магнитотерапия для ускорения процесса восстановления.
Третий этап реабилитации включает в себя возвращение к обычной физической активности. Важно помнить, что возвращение к спорту или физической работе должно происходить постепенно, чтобы избежать повторных травм. Врач может рекомендовать специальные ортопедические стельки или обувь для поддержки стопы и снижения нагрузки на поврежденную область.
В процессе реабилитации важно также уделять внимание питанию, так как правильное питание способствует более быстрому заживлению костей. В рационе должны присутствовать продукты, богатые кальцием, витамином D и другими микроэлементами, необходимыми для восстановления костной ткани.
В заключение, успешная реабилитация после перелома плюсневой кости требует комплексного подхода, включающего медицинское лечение, физиотерапию и изменение образа жизни. Следуя рекомендациям специалистов и проявляя терпение, пациенты могут ожидать полного восстановления и возвращения к активной жизни.
Вопрос-ответ
Каковы основные симптомы перелома плюсневой кости?
Основные симптомы перелома плюсневой кости включают боль в области стопы, отек, синяки и затруднение при ходьбе. В некоторых случаях может наблюдаться деформация стопы или хруст при движении.
Как происходит диагностика перелома плюсневой кости?
Диагностика перелома плюсневой кости обычно включает физический осмотр, а также рентгенографию для подтверждения наличия перелома. В некоторых случаях может потребоваться МРТ или КТ для более детального изучения повреждений.
Каковы методы лечения перелома плюсневой кости?
Лечение перелома плюсневой кости может варьироваться в зависимости от степени повреждения. В легких случаях может быть достаточно иммобилизации с помощью гипса или ортеза. В более серьезных случаях может потребоваться хирургическое вмешательство для восстановления нормального положения кости.
Советы
СОВЕТ №1
Обратитесь к врачу сразу после травмы. При подозрении на перелом плюсневой кости важно получить профессиональную медицинскую помощь. Врач проведет необходимые обследования, такие как рентген, чтобы подтвердить диагноз и назначить правильное лечение.
СОВЕТ №2
Следуйте рекомендациям по реабилитации. После лечения перелома важно соблюдать режим реабилитации, который может включать физиотерапию и специальные упражнения для восстановления подвижности и силы стопы. Это поможет избежать осложнений и ускорит процесс выздоровления.
СОВЕТ №3
Используйте ортопедическую обувь. На этапе восстановления рекомендуется носить удобную обувь с хорошей поддержкой, чтобы снизить нагрузку на поврежденную стопу и предотвратить повторные травмы.
СОВЕТ №4
Обратите внимание на питание. Убедитесь, что ваш рацион богат кальцием и витамином D, которые способствуют укреплению костей. Это особенно важно в период восстановления после перелома.




