Некоторые онкологические заболевания представляют собой опасность еще и тем, что хорошо маскируются под иные патологии. Не исключение и плоскоклеточный рак кожи, который можно спутать с другими кожными заболеваниями на начальной стадии его развития, что иногда затрудняет постановку точного диагноза и своевременного назначения лечения. Пациент обращается к медику уже на том этапе, когда патология начала проявлять явные симптомы. Данный вид онкологии практически никогда не дает метастаз, и чаще всего наблюдается у людей, которым делали пересадку донорских органов.
Описание патологии
Плоскоклеточный рак – злокачественная опухоль, что формируется из кожной ткани и слизистых оболочек. Патология очень быстро развивается и протекает агрессивно. Сначала злокачественные новообразования встречаются на кожном покрове или слизистой оболочке, со временем они проникают в лимфатические узлы, внутренние органы и ткани, способствуя нарушению их функций и строения. Несвоевременно начатое лечение приводит к летальному исходу из-за развития полиорганной недостаточности. Данное новообразование формируется из плоских клеток кожи, которые со временем прорастают в подкожную клетчатку и скелет человека. При разрастании опухоли появляются новообразования в виде узлов, от которых отходят отростки внутрь кожной ткани. Они часто травмируются, поэтому сопровождаются очагами воспаления и появлением язв на поверхности кожного покрова с постоянными кровотечениями.
Существует два вида кожи:
- Ороговевающий эпителий, который представляет собой объединение кожных покровов.
- Неороговевеющий эпителий, представляющий собой все слизистые оболочки организма.
Таким образом, злокачественные образования могут появляться как на коже, так и на слизистой оболочке, размещенными на любом участке тела человека, так как эпителий очень широко распространен. Но чаще всего страдают открытые области кожи, половые органы и участок вокруг ануса. Нередко при возникновении патологии на кожном покрове образуется папула, которая через несколько месяцев трансформируется в узел размером больше полутора сантиметров.
Эпидемиология
Данная патология развивается у людей разных возрастов, но чаще всего страдают мужчины, которым больше шестидесяти пяти лет. По статистике от плоскоклеточного рака страдают люди со светлой кожей и рыжими волосами, а также те, кто перенес пересадку донорских органов с последующей иммуносупрессивной терапией. У детей патология наблюдается редко, обычно заболевание связано с наследственной предрасположенностью. Плоскоклеточный рак встречается в 25% случаев из всех существующих кожных заболеваний онкологического характера. В 75% случаев опухоли локализуются в области головы и лица. Особенно часто злокачественные новообразования появляются у людей, которые за короткий промежуток времени сгорают на солнце. Несвоевременное и неэффективное лечение приводит к смертельному исходу.
Причины развития онкологии
Точные причины появления заболевания в настоящее время не установлены. В медицине принято выделять следующие возможные причины плоскоклеточного рака:
- Генетическая предрасположенность, характеризующаяся нарушениями противоопухолевых защитных свойств клеток, работы противоопухолевого иммунитета, метаболизма канцерогенных веществ. Все это связано с определенными мутациями генов человека, которые приводят к развитию заболевания.
- Воздействие ультрафиолета, что вызывает генетические мутации и образование раковых клеток. Обычно это происходит при нахождении на солнце длительный период времени.
Обратите внимание! Доказано, что патология связана с папилломавирусом человека, ультрафиолетовым излучением, нарушениями в иммунной системе, воздействием канцерогенов.
- Воздействие радиации, которая оказывает разрушающее воздействие на гены человека, способствуя появлению мутаций. Чаще всего плоскоклеточная карцинома кожипоявляется у людей, которые регулярно подвергаются ионизирующему излучению в медицинских целях, а также у работников атомной промышленности.
- Инфекционные заболевания способствуют появлению онкологии. Сюда относят ВИЧ и папилломавирус.
- Возраст более шестидесяти пяти лет, когда наблюдается снижение всех функций органов и систем.
- Употребление иммуносупрессоров, что оказывают негативное действие на иммунную систему человека.
- Вредные привычки (курение, употребление алкоголя, наркотиков) влияют на развитие раковых опухолей в ротовой полости, желудке или органах дыхания. Связано это с воздействием на организм канцерогенов, которые содержатся в табаке, наркотических препаратах и алкоголе. В результате злоупотребления вредными привычками увеличивается проницаемость здоровых клеток для разных химических веществ.
- Загрязненный воздух способствует попаданию на кожные покровы некоторых опасных химических веществ, которые вызывают развитие плоскоклеточного рака.
- Неправильный рацион питания, который включает в себя большое количество продуктов, содержащих животные жиры и недостаток жиров растительного происхождения.
Также данное заболевание может появиться из-за травм и рубцов на кожном покрове или слизистой оболочке, хронических дерматитов, язв, заболеваний воспалительного характера.
Обратите внимание! Иногда патология образуется в результате развития предраковых процессов, которые включают пигментную ксеродерму, заболевание Педжета и болезнь Боуэна, эритроплазию Кейра, кератоакантому и старческий кератоз.
Формы онкологического заболевания
Плоскоклеточный рак имеет такие формы:
- Экзофитная форма, обуславливающаяся образованием узлов с плотной консистенцией и широким основанием, которые возвышаются над кожным покровом и практически неподвижны.
- Эндофитная форма, что характеризуется быстрым изъявлением узла, образованием язвы, вокруг которой появляются вторичные узелки, провоцирующие увеличение их размера. Язвы имеют темный красный цвет, крутые края. Данная форма рака подразделяется на поверхностный рак, который имеет язвы с коричневой коркой, и глубокий рак, что прорастает вглубь и имеет вид язвы желтого цвета.
Типы патологических новообразований
В медицине принято выделять следующие типы плоскоклеточного рака:
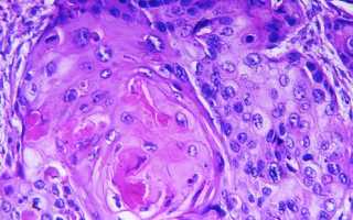
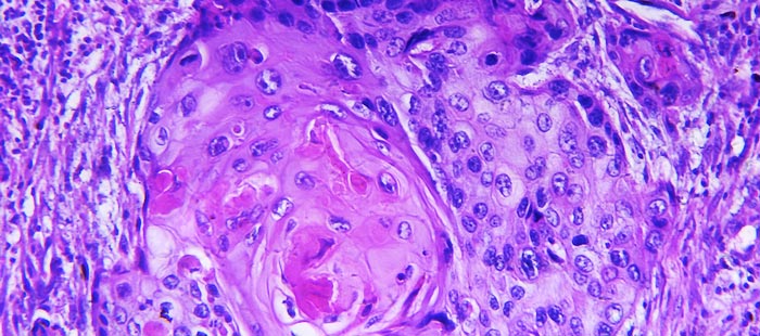
- Плоскоклеточный ороговевающий рак (дифференцированный). Данная патология обуславливается мутацией клетки эпителия, активным ее размножением с появлением клонов, которые накапливают кератин в огромном количестве. Со временем аномальные клетки теряют свои элементы и умирают, откладывая на поверхности новообразования кератиновую массу в виде корочки желтоватого цвета. Высокодифференцированный плоскоклеточный рак характеризуется небыстрым делением патологических клеток, которые нацелены на разрушение сосудов, тканей и костей. Эта разновидность плоскоклеточного рака имеет самые благоприятные прогнозы из всех остальных. Низкодифференцированный плоскоклеточный рак по своему строению напоминает саркому и является более опасным видом заболевания. Аномальные клетки в этом случае имеют веретенообразную форму и размножаются очень быстро, они способны обеспечивать целостность ткани.
- Неороговевающий плоскоклеточный рак (недиффиринцированный). Эта патология является самой злокачественной формой заболевания, при которой наблюдается стремительное деление раковых клеток, где кератин не накапливается, не наблюдается процесс их гибели. Такие новообразования могут давать метастазы и чаще всего размещаются на слизистых оболочках организма.
Обратите внимание! Плоскоклеточный недифференцированный рак – самая злокачественная форма патологии, которую можно спутать с саркомой.
Виды заболевания
В онкологии выделяют следующие разновидности плоскоклеточного рака:
- Бляшечный рак, характеризующийся образованием бляшек красного цвета, которые имеют на поверхности кровоточащие бугорки. Данная разновидность раковой опухоли отличается быстрым ростом, поражением поверхности кожного покрова, распространением метастаз во внутренний слой кожи.
- Узловой рак, обуславливается формированием узлов красного оттенка, по своему виду которые напоминают цветную капусту. Их поверхность бугристая, а структура плотная.
- Язвенный рак, что характеризуется появлением на кожном покрове язв с приподнятыми краями. Эти язвы имеют неприятный запах и постоянно кровоточат. Они склонны проникать внутрь организма, поражая ткани, что находятся вблизи.
Стадии развития плоскоклеточного рака кожи
Существует четыре степени злокачественности новообразования, которые зависят от того, насколько глубоко оно проникло:
- Первая степень, при которой раковая опухоль проникает на уровень потовых желез, а вокруг нее появляется воспаление. Новообразование имеет небольшие размеры, человек не испытывает болевых ощущений при пальпации.
- Вторая стадия обуславливается наличием большого количества раковых клеток. Опухоль увеличивается до размеров больше двух сантиметров.
- На третьей стадии патологии происходит ороговение опухоли, зона поражения при этом увеличивается.
- Четвертая степень обуславливается отсутствием ороговения новообразования, прекращением воспалительного процесса, формированием клеток неправильной формы, размеров и структуры. На этом этапе поражаются не только кожные покровы, но и ткани, кости, лимфатические узлы.
Симптомы и признаки заболевания
Чаще всего заболевание развивается на кожном покрове верхних конечностей, лица и головы. На начальной стадии недуга наблюдается появление подвижного узла розового оттенка, который покрыт чешуйками. Через некоторое время он становится неподвижным, он начинает срастаться с кожей, вызывая появление болевых ощущений. Со временем опухоль прорастает в глубокие кожные слои, подкожную клетчатку и даже кости. Потом на поверхности новообразования появляется язва, имеющая неровные края. Спустя три месяца раковая опухоль может дать метастазы в лимфатические узлы, но происходит это нечасто. В некоторых случаях плоскоклеточный рак может давать инвазии в соседние ткани.
Обратите внимание! Если новообразование стремительно выросло в размерах и превышает два сантиметра, это свидетельствует об активном развитии рака, который может метастазировать в соседние органы и ткани.
Симптоматика заболевания зависит от того, где находится злокачественное новообразование, но у всех его видов есть общие признаки, которые говорят об особенностях его роста. Плоскоклеточный рак может проявляться следующими признаками:
болевые ощущения в местах расположения раковой опухоли;
- отек тканей;
- жжение и зуд;
- покраснение в месте локализации опухоли.
Диагностика
Сначала проводится диагностика в дерматологии, при которой врач проводит предварительный осмотр новообразований и изучает симптоматику патологии. Затем он назначает эндоскопию, термографию или сканирующую микроскопию, МРТ. Это дает возможность получить послойное изображение кожного покрова, изучить природу новообразований, их состав и форму, а также степень поражения слизистых оболочек.
Для постановки точного диагноза могут быть назначены лабораторные методы диагностики. Для этого проводят анализ крови и мочи, выявление онкомаркеров, цитологическое исследование соскоба ли мазка. Это позволяет выявить опухолевые клетки плоскоклеточного рака.
Также врач обязательно проводит дифференциацию заболевания с клеточным раком, заболеванием Боуэна, кератозом, дискератозом и прочими патологиями. Окончательный диагноз ставится после результатов биопсии. В ходе исследования берется часть патологического материала с кожного покрова или поверхности слизистой оболочки. Затем проводят гистологическое исследование материала.
Лечение онкологии
В зависимости от размера раковой опухоли, ее месторасположения, а также возраста больного разрабатывается индивидуальное лечение плоскоклеточного рака кожи. Важным моментом здесь выступает, как можно раньше удалить пораженные ткани.
Обратите внимание! Своевременно начатое лечение повышает шансы пациента на выживание.
Нередко раковую опухоль удаляют хирургическим путем. Во время операции хирург удаляет первичное новообразование, а также лимфатические узлы, если в них обнаруживаются метастазы. После удаления новообразования используется рентгенологическая терапия. Она также может применяться при размещении опухоли в любой части лица, а также при лечении людей преклонного возраста, если им противопоказано хирургическое вмешательство. В ходе операции удаляется не только новообразование, но и все структуры, в которые оно проросло. В некоторых случаях может потребоваться ампутация конечностей или удаление внутреннего органа, который был поражен.
Кроме операции врач может назначить криодеструктию, при которой новообразование замораживается жидким азотом путем его распыления специальным оборудованием. Данный метод применяется при опухолях небольшого размера, он не оставляет рубцов после проведения процедуры. Но эта методика никогда не используется при поражении волосистой части головы.
После оперативного вмешательства обычно лечение онкологии предполагает применение химиотерапии с целью ликвидации оставшихся раковых клеток. Этот метод лечения достаточно эффективный, в 99% случаев заболевание имеет благоприятный прогноз.
При наличии большого новообразования сначала проводят курс лучевой терапии для уменьшения его размеров. После этого пациент проходит химиотерапию. Чаще всего этих двух методов лечения достаточно для излечения пациента. Лучевая терапия применяется при наличии раковых опухолей любого месторасположения. В большинстве случаев данным методом лечат заболевание на начальных стадиях развития. В случае наличия плоскоклеточного рака последних стадий, лучевую терапию задействуют перед проведением операции, после чего новообразование полностью удаляется. Лечение высокодифференцированного рака требует длительного периода времени и достаточно высоких доз радиации. При развитии рецидива данный метод лечения повторно не используют.
Во время всех медицинских процедур проводится симптоматическое лечение, целью которого служит уменьшение болевого синдрома, остановка кровотечений, устранение инфекций, терапия сопутствующих патологий.
Прогноз
После удачного оперативного вмешательства вероятность появления рецидива в ближайшие пять лет составляет около 30%. Чтобы этого не произошло, рекомендуется нормализовать работу иммунной системы, которая нарушается при лечении ракового процесса. При лечении рака на ранней его стадии, вероятность полностью излечиться высокая. Но на протяжении всей жизни человек должен будет находиться под наблюдением медиков. На поздней стадии рака прогноз неблагоприятный.
Профилактика патологии
С целью профилактики необходимо ограничить контакт с опасными химическими веществами, канцерогенами, радиацией и ультрафиолетом. При появлении на коже любых образований, необходимо пройти медицинское обследование для постановки точного диагноза. На протяжении жизни каждый человек должен следить за состоянием своего кожного покрова.
Плоскоклеточный рак, или плоскоклеточная карцинома – это гистологический тип злокачественных опухолей, такой диагноз устанавливают по результатам биопсии после исследования образца опухолевой ткани под микроскопом. Новообразование формируется из плоских клеток эпидермиса, которые выглядят как чешуйки. Оно может возникать на коже, в полости рта, в гортани, трахее, бронхах, пищеводе, на половых органах, в прямой кишке.
В Европейской онкологической клинике диагностикой и лечением плоскоклеточного рака занимаются врачи экспертного уровня, за плечами которых обширный опыт работы в ведущих онкологических центрах Москвы. С пациентом работает команда, в которую входят онкологи, дерматоонкологи, хирурги, химиотерапевты, радиотерапевты и другие специалисты. Мы применяем инновационные методы лечения, препараты последних поколений, проводим противоопухолевую терапию в соответствии с ведущими международными рекомендациями. Европейская онкологическая клиника – первый российский частный онкологический центр, в котором можно получить эффективное паллиативное лечение на поздних стадиях, даже в случаях, когда от пациента отказались в других клиниках.
Причины возникновения плоскоклеточного рака
Причины плоскоклеточного рака те же, что и для других типов злокачественных опухолей. В клетках происходят определенные мутации, которые приводят к злокачественному перерождению. «Неправильные» клетки утрачивают внешние черты и функции нормальных, начинают бесконтрольно размножаться, приобретают способность распространяться в организме.
Основные факторы риска плоскоклеточного рака:
- На коже такие опухоли часто возникают из-за действия ультрафиолетовых лучей. Наиболее уязвимы открытые участки тела.
- Плоскоклеточный рак половых органов, головы и шеи вызывают некоторые типы вируса папилломы человека.
- Риск развития плоскоклеточного рака повышен у курильщиков и людей, которые употребляют много алкоголя.
- Вероятность развития онкологического заболевания повышается с возрастом, так как в клетках тела накапливаются мутации.
- Шрамы, ожоги, хронический воспалительный процесс.
- Воздействие некоторых канцерогенных веществ, например, если человек работает на производстве и контактирует с химикатами.
- Снижение иммунитета.
Ни один из этих факторов не приводит гарантированно к заболеванию – каждый из них лишь в определенной степени повышает вероятность.
Какие бывают виды плоскоклеточного рака?
Злокачественные новообразования данного гистологического типа встречаются на разных частях тела. В зависимости от локализации, могут несколько различаться их свойства, подходы к диагностике и лечению, прогноз для пациента.
Рак кожи
Злокачественные опухоли кожи представлены плоскоклеточным раком примерно в 20% случаев. Намного чаще пациенты страдают базальноклеточным раком, который происходит из клеток, находящихся в нижнем слое эпидермиса.
Плоскоклеточный рак более агрессивен по сравнению с базальноклеточным. Он с большей вероятностью прорастет в глубокие слои кожи, будет распространяться в организме с образованием отдаленных метастазов. Тем не менее, это происходит довольно редко. Чаще всего опухоль удается обнаружить и удалить на ранней стадии.
Как правило, плоскоклеточный рак возникает на коже лица, ушей, шеи, тыльной стороне рук, реже – в области половых органов. Нередко новообразование развивается там, где находятся шрамы и хронические повреждения.
Плоскоклеточный рак красной каймы губ
Злокачественные опухоли губ составляют не более 1–3% от всех онкологических заболеваний. В большинстве случаев (95%) они представлены плоскоклеточным раком, который бывает двух типов:
- Плоскоклеточный ороговевающий рак ведет себя не так агрессивно, медленно растет, редко образует отдаленные метастазы.
- Плоскоклеточный неороговевающий рак растет быстро, раньше приводит к изъязвлению и чаще метастазирует.
Исследования показывают, что у мужчин этот тип рака встречается в 3–13 раз чаще, чем у женщин. Вероятно, это связано с тем, что представители мужского пола чаще подвергаются воздействию солнечных лучей на рабочем месте, среди них более распространено курение, употребление алкоголя.
Рак полости рта
Раком ротовой полости называют злокачественные опухоли, которые возникают на слизистой оболочке губ, щек, десен, передних двух третей языка, неба, дна ротовой полости (находится под языком). В 90% случаев они представлены плоскоклеточным раком, из них 5% – плоскоклеточный ороговевающий рак, который менее агрессивен, реже прорастает в окружающие ткани, распространяется в лимфатические узлы и метастазирует.
Рак пищевода
Слизистая оболочка пищевода выстлана многослойным плоским эпителием, и из него может развиваться плоскоклеточный рак. Чаще всего такие опухоли находятся в шейном отделе пищевода и верхних двух третях грудного отдела. В нижней трети органа чаще встречаются аденокарциномы – злокачественные опухоли из железистых клеток.
Рак гортани
При раке гортани опухоль практически всегда развивается из плоского эпителия и представляет собой плоскоклеточную карциному. Обычно возникновению опухоли предшествуют предраковые изменения – дисплазия. Клетки, которые находятся в очаге, внешне не похожи на нормальные, но отличаются и от раковых. В ряде случаев дисплазия не приводит к развитию рака и даже проходит самостоятельно, особенно если устранена ее причина, например, человек бросил курить. Но у некоторых людей предраковые изменения приводят к возникновению «рака на месте» (in situ), а затем инвазивной опухоли.
Рак трахеи и бронхов
Плоскоклеточный рак – наиболее распространенный тип злокачественных опухолей в трахее. Обычно он возникает в нижней части трахеи, довольно быстро растет, прорастает ее стенку, приводит к изъязвлениям и кровотечению. Это редкий тип рака, его основной причиной является курение.
Наиболее распространенным раком легкого является немелкоклеточный рак – он встречается в 80% случаев и в 30% случаев представлен плоскоклеточной карциномой. Нередко эти опухоли находятся в бронхах.
Рак шейки матки
Шейка матки состоит из двух частей. Экзоцервикс находится снаружи, во влагалище, это то, что видит гинеколог во время осмотра. Эндоцервикс – канал шейки матки, он соединяет матку с влагалищем. В норме экзоцервикс выстлан плоским эпителием, а эндоцервикс – железистым. Место, где они встречаются, называется зоной трансформации.
Плоскоклеточным раком представлены 90% злокачественных опухолей шейки матки. Чаще всего новообразование возникает в области зоны трансформации. Раки, которые развиваются из железистых клеток эндоцервикса, называются аденокарциномами.
В редких случаях в шейке матки встречается железисто-плоскоклеточный рак.
Рак вульвы
Вульвой называют наружные женские половые органы: преддверие влагалища, большие и малые половые губы, клитор. Большинство типов рака, которые развиваются в этой области, представлены плоскоклеточным раком (70–90%). Они делятся на две группы:
- Большая группа – опухоли, происхождение которых неизвестно. Чаще всего их диагностируют у женщин старшего возраста.
- Меньшая группа – злокачественные опухоли, вызванные вирусом папилломы человека.
Рак прямой кишки
В большинстве случаев злокачественные опухоли прямой кишки представлены аденокарциномами – железистым раком. Плоскоклеточный рак в этом органе встречается очень редко и составляет от 10 до 25 случаев на каждые 100 тысяч случаев колоректального рака.
Плоскоклеточный рак составляет 90% от всех злокачественных новообразований анального канала – узкого прохода, который соединяет прямую кишку с анусом.
Рак миндалин
У человека есть четыре вида миндалин: небные (при их воспалении развивается тонзиллит), трубные (находятся в глотке возле отверстий слуховых труб), язычная (позади языка) и глоточная (у детей из-за нее бывают аденоиды). Чаще всего злокачественные опухоли развиваются в небных миндалинах. В большинстве случаев это плоскоклеточный рак. Его сложно диагностировать, поэтому зачастую он выявляется на поздних стадиях.
Виды диагностики заболевания
Врач-онколог назначает пациенту те или иные виды диагностики, в зависимости от того, в каком органе находится злокачественная опухоль:
Место локализации рака
Кожа, красная кайма губ
- Осмотр дерматолога.
- Дерматоскопия.
- В Европейской онкологической клинике применяется современная дерматоскопическая установка – ФотоФайндер. Она позволяет составить «карту родинок» и выявить мельчайшие изменения на коже.
Ротовая полость, миндалины, гортань
- Осмотр ЛОР-врача.
- Фарингоскопия.
- Ларингоскопия.
- Бронхоскопия.
- Эзофагоскопия.
- Исследование на ВПЧ.
Пищевод
- Эндоскопическое исследование, в том числе эндоУЗИ.
- Рентгенография с контрастным усилением.
- КТ, МРТ.
Трахея и бронхи
- Рентгенография грудной клетки.
- Бронхоскопия.
Вульва
- Осмотр гинеколога
Шейка матки
- Осмотр гинеколога.
- Кольпоскопия.
Прямая кишка, анальный канал
- Осмотр врача-проктолога.
- Проктоскопия.
- Колоноскопия.
- Анализ кала на скрытую кровь.
Во всех случаях, когда обнаружено патологическое образование, проводят биопсию – исследование, во время которого получают фрагмент подозрительной ткани и отправляют в лабораторию для гистологического и цитологического исследования. Биопсия – самый точный метод диагностики рака. Она помогает не только достоверно установить диагноз, но и определить гистологический тип новообразования.Для того чтобы проверить степень распространения рака в организме и уточнить стадию, врач может назначить дополнительные исследования:
- компьютерную томографию, МРТ;
- рентгенографию грудной клетки, костей;
- ПЭТ-сканирование;
- УЗИ и эндоскопические исследования органов, в которые мог прорасти рак.
Лечение плоскоклеточного рака
Лечение зависит от локализации, стадии рака, общего состояния пациента, наличия у него сопутствующих заболеваний и других факторов.
Лучевая терапия
Ионизирующее излучение повреждает опухолевые и другие быстро размножающиеся клетки. Этот вид лечения плоскоклеточного рака может быть назначен до или после операции, либо на поздних стадиях в паллиативных целях.
Хирургия
Радикальные операции возможны, если нет метастазов, и не произошло сильное прорастание рака в окружающие ткани. В одних случаях таким пациентам показано только хирургическое лечение, в других его дополняют противоопухолевыми препаратами, лучевой терапией – это помогает снизить риск рецидива.
При запущенном плоскоклеточном раке может быть выполнено паллиативное хирургическое вмешательство, направленное на ликвидацию симптомов, восстановление проходимости и функции пораженного органа.
Медикаментозное лечение плоскоклеточного рака
Химиотерапия при плоскоклеточном раке может быть адъювантной (после операции), неоадъювантной (до хирургического вмешательства) или применяется в качестве самостоятельного метода лечения на поздних стадиях.
Если опухоль обладает определенными молекулярно-генетическими характеристиками, назначают таргетную терапию. Таргетные препараты прицельно воздействуют на молекулы, которые помогают раку расти и поддерживать свою жизнедеятельность.
Симптоматическое лечение при плоскоклеточном раке
Лечение при плоскоклеточном раке и любых других злокачественных новообразованиях должно быть направлено не только на борьбу с самой опухолью, но и на купирование симптомов, улучшение состояния пациента. В Европейской онкологической клинике пациент может получить все виды симптоматической терапии при раке:
- Купирование болевого синдрома в соответствии с трехступенчатой схемой ВОЗ.
- Восстановление проходимости пищевода, кишечника, дыхательных путей.
- Устранение кровотечений, при необходимости – переливание крови.
- Купирование тошноты.
- Устранение сдавления опухолью внутренних органов, нервов, сосудов.
- Лечение экстренных состояний в условиях палаты интенсивной терапии, оснащенной современной аппаратурой.
- Контроль и коррекция нутритивного статуса.
- Поддерживающая терапия помогает комфортно перенести курс химиотерапии, предотвратить и купировать побочные эффекты.
Прогноз выживаемости при плоскоклеточном раке
Прогноз зависит от того, в каком месте начался рост рака, на какой стадии установлен диагноз и начато лечение. Например, зачастую выживаемость при раке кожи и красной каймы губ стремится к 100%, потому что такие опухоли, как правило, удается обнаружить достаточно рано, и они не очень агрессивны. Если появились отдаленные метастазы, шансы на ремиссию становятся крайне низкими. Но таким пациентам все еще можно помочь: затормозить прогрессирование плоскоклеточного рака, продлить жизнь, улучшить общее состояние, купировать мучительные симптомы.
Профилактика
Основные меры профилактики плоскоклеточного рака:
- Отказ от курения и употребления алкоголя.
- Защита от воздействия на кожу ультрафиолетовых лучей – важнейшая мера профилактики рака кожи. Не стоит посещать солярии, ходить на пляж с 10.00 до 16.00 часов, когда наиболее высока солнечная активность. Защититься помогает одежда с длинными рукавами и штанинами, шляпа с широкими полями, солнцезащитные очки.
- Предотвращение заражения ВПЧ, приводящими к развитию рака: нужно избегать беспорядочных половых связей, использовать презервативы. В настоящее время существует вакцина против папилломавирусной инфекции. Прививать рекомендуется всех подростков до начала половой жизни.
Плоскоклеточный рак развивается из кератиноцитов (одна из разновидностей клеток эпидермиса — многослойного плоского ороговевающего эпителия). Поражает кожный покров и слизистые оболочки.
Гистологическая классификация
Клетки плоскоклеточного рака могут быть трансформированы в клетки рогового эпителия. Причём тенденция к ороговению разная для разных больных. Гистологически различают ороговевающую и неороговевающую форму плоскоклеточного рака кожи.
Плоскоклеточный ороговевающий рак может быть высокодифференцированным и низкодифференцированным.
Локализация и симптомы опухоли
Плоскоклеточный рак кожи
Наиболее часто, по статистике, болеют люди, обладающие светлым цветом кожи и рыжими волосами. Это объясняется тем, что кожа такого типа обладает наименьшей защитой против воздействия ультрафиолета. Плоскоклеточный рак возникает на участках кожи, часто и длительно подвергающихся воздействию солнечного света.
Плоскоклеточный рак кожи может развиться на здоровом участке кожи, но чаще развивается в процессе прогрессии предраковых состояний: очаговой и рубцовой атрофии кожи после ожогов и травм, на месте остроконечных кондилом, на фоне ряда заболеваний — красной волчанки, псориаза, скрофулодермы, туберкулёзной волчанки, пигментной ксеродермы, идиопатической атрофии кожи.
Чаще поражённые участки обнаруживают на верхней половине туловища и руках. Очаг имеет вид красного пятна или бляшки с шелушением в центре. Чешуйки легко отслаиваются от поверхности с появлением мокнутия. Бляшка растёт и возвышается над уровнем кожи, при появлении зон гиперкератоза и разрастаний приобретает неоднородный пёстрый вид. Болезнь Боуэна часто трансформируется в плоскоклеточный рак кожи.
Выше риск развития плоскоклеточного рака у пациентов с иммуносупрессией, у носителей ВПЧ или у перенёсших заболевание в любой форме.
Плоскоклеточный рак кожи по характеру роста может быть экзофитным и эндофитным. Трудностей при диагностике экзофитной формы обычно не возникает — опухоль выглядит, как солитарный узел (в ряде случаев может быть несколько узлов), возвышающийся над поверхностью кожи.
Узелок со временем разрастается, становится бугристым, принимая вид «цветной капусты». В узле разрастаются кровеносные сосуды, за счёт чего он может приобретать багрово-красный или коричневый цвет. Иногда опухоль имеет вид желтовато-красного или красновато-коричневого очага с участками гиперкератоза и бородавчатыми разрастаниями на поверхности. Такую форму называют веррукозной.
Эндофитная форма роста характеризуется частыми рецидивами и метастазированием. Узел, образовавшийся на коже, прорастает в подкожно-жировую клетчатку и изъязвляется. Дно язвы шероховатое, покрыто белесоватой плёнкой. Вокруг основного узла могут образовываться узлы меньшего размера, также изъязвляясь, они увеличивают площадь поражённой кожи. Опухоль быстро прорастает в подлежащие ткани и гематогенно мигрирует в другие органы (чаще в лёгкие).
Хирургический метод лечения применяется при небольших размерах опухоли. Он основан на иссечении опухоли в пределах здоровой ткани. К хирургическим методам лечения относятся электрокоагуляция и кюретаж.
При хирургическом лечении рака кожи необходимо формирование удовлетворительного в косметическом отношении рубца.
Для лечения плоскоклеточного рака кожи также используется химиотерапия, фотодинамическая терапия, лазероиндуцированная светокислородная терапия.
Фотодинамическая терапия также распространена, она требует дополнительной обработки опухоли веществом.
Прогноз при заболевании плоскоклеточным раком кожи и своевременным его выявлением относительно благоприятный. Опухоли редко метастазируют и дают рецидивы. Наиболее опасно расположение первичного очага в области слухового прохода, глазницы, заушной области и в области носогубных складок.
[pp_youtube src=”https://www.youtube.com/embed/cOfmNaODI4I?enablejsapi=1&autoplay=0&cc_load_policy=0&iv_load_policy=1&loop=0&modestbranding=0&rel=1&fs=1&playsinline=0&autoh >




