Перелом седалищной кости таза — серьезная травма, влияющая на качество жизни пациента. В статье рассмотрим методы лечения, этапы реабилитации и возможные последствия. Эти аспекты помогут лучше понять травму, подготовиться к восстановлению и избежать осложнений. Информация будет полезна пациентам, их близким и медицинским работникам, занимающимся лечением таких травм.
Причины
- Сжатие костей таза в фронтальной плоскости (например, при автомобильной аварии);
- Сжатие костей таза в сагиттальной плоскости (например, когда таз сжимается колесами автомобилей);
- Обвалы грунта;
- Спортивные травмы;
- Падение с высоты.
Травмы тазовых костей относятся к серьезным повреждениям, так как у пострадавших часто наблюдается развитие внутреннего кровотечения в забрюшинное пространство, что приводит к образованию гематомы. У некоторых пациентов перелом седалищных костей может сопровождаться развитием шокового состояния и парезом кишечника.
Перелом седалищной кости является серьезной травмой, требующей внимательного подхода к диагностике и лечению. Эксперты в области травматологии подчеркивают, что такие переломы часто возникают у пожилых людей, особенно тех, кто страдает от остеопороза. Важно отметить, что своевременная диагностика, включая рентгенографию и компьютерную томографию, позволяет точно определить характер повреждения и выбрать оптимальную стратегию лечения. В большинстве случаев консервативные методы, такие как иммобилизация и физиотерапия, могут быть эффективными. Однако в сложных случаях может потребоваться хирургическое вмешательство. Реабилитация играет ключевую роль в восстановлении функции и предотвращении осложнений. Эксперты рекомендуют индивидуализированный подход к каждому пациенту, учитывая его возраст, общее состояние здоровья и уровень физической активности.

Кровопотеря
- Перелом седалищных костей без смещения фрагментов – не более 500 мл;
- Перелом седалищных костей со смещением – до 1 литра;
- Двойные переломы с смещением костных фрагментов – 1500-2000 мл;
- Двойные двухсторонние переломы седалищных костей – от 2 до 3 литров.
| Симптом | Возможная причина | Лечение |
|---|---|---|
| Сильная боль в ягодице и паху | Прямой удар, падение на ягодицы, чрезмерное напряжение мышц | Иммобилизация, обезболивание, физиотерапия |
| Отек и гематома в области таза | Кровоизлияние в мягкие ткани | Холодные компрессы, покой |
| Ограничение подвижности ноги | Повреждение нервов или мышц | Физиотерапия, реабилитация |
| Потеря чувствительности в ноге или ягодице | Повреждение нервов | Медикаментозное лечение, физиотерапия |
| Укорочение ноги | Смещение костных фрагментов | Хирургическое вмешательство (в некоторых случаях) |
| Хруст при движении | Смещение костных фрагментов | Хирургическое вмешательство (в некоторых случаях) |
Интересные факты
Вот несколько интересных фактов о переломе седалищной кости:
-
Редкость травмы: Переломы седалищной кости (или переломы лобковой кости) встречаются относительно редко по сравнению с другими типами переломов. Это связано с тем, что седалищная кость находится в глубине таза и защищена другими костями и мягкими тканями.
-
Сложности диагностики: Перелом седалищной кости может быть трудно диагностировать, так как симптомы могут быть схожи с другими травмами таза. Часто для подтверждения диагноза требуется использование рентгенографии или компьютерной томографии.
-
Влияние на качество жизни: Переломы седалищной кости могут значительно повлиять на качество жизни пациента, особенно у пожилых людей. Восстановление может занять много времени, и в некоторых случаях может потребоваться хирургическое вмешательство для стабилизации кости.

Как определить
- Сразу после получения травмы у пострадавшего возникает локальная болезненность в области поврежденной кости.
- При осмотре врач может заметить отек тканей и гематому в зоне травмы.
- Характерным признаком является симптом «прилипшей пятки», когда пациент, лежа на спине, не может поднять выпрямленную ногу.
- При повреждении тазового кольца больной испытывает локальную боль, которая усиливается при попытке перевернуться на другой бок.
- Пострадавший принимает вынужденное положение: лежит на спине, ноги слегка согнуты в коленях и немного развернуты наружу, что напоминает «позу лягушки».
- При переломе седалищной кости чаще всего кровоизлияние и отек наблюдаются в области промежности.
- При пальпации места перелома у пострадавшего возникает болезненное ощущение.
- У больного любые движения в тазобедренном суставе затруднены из-за выраженного болевого синдрома.
- Если у человека произошел вертикальный двойной перелом, то через несколько часов после травмы под действием тяги крупных мышц на стороне повреждения одна половина таза поднимается вверх.
- При повреждении уретры костными осколками седалищной кости у пациента наблюдается выделение мочи с примесью крови.
- У некоторых пострадавших может возникнуть задержка мочи и нарушения мочеиспускания.
- Обращает на себя внимание изменение анатомической формы и конфигурации таза.
- При попытке встать на ноги у больного возникает сильная боль.
- При переломе седалищных костей человек не способен ни ходить, ни стоять на месте.
- Если острые края костных фрагментов повредили прямую кишку, может наблюдаться ректальное кровотечение.
- У пациента отмечается ненормальная подвижность и крепитация в области сломанных тазовых костей.
- Усиление болевого синдрома наблюдается при нагрузке на тазовое кольцо в сагиттальном или фронтальном направлениях.
- При двойном вертикальном переломе подвздошных костей может возникнуть кажущееся укорочение ног, что связано со смещением травмированной половины таза вверх.
- У пострадавшего может появиться болезненность и гематома в области большого вертела.
- У некоторых пациентов после перелома седалищной кости развивается забрюшинная гематома, вызывающая небольшое вздутие живота и выраженное напряжение передней брюшной стенки, что может привести к симптомам «острого живота».
- При попытке пошевелить ногами у человека возникает сильная боль.
- Перелом седалищных костей часто сопровождается потерей крови и развитием шока.
Диагноз ставится на основании:
- Анамнез;
- Жалобы пострадавшего;
- Данные объективного обследования;
- Дополнительные методы обследования:
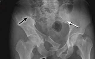
- Рентгенография;
- Ультразвуковое исследование;
- Магнитно-резонансная томография;
- Компьютерная томография.
При травмах седалищной кости врачу необходимо выполнить пальцевое исследование прямой кишки. У женщин в случае травмы дополнительно исследуется влагалище, а у мужчин – предстательная железа. Главная задача этих обследований – исключить возможность разрыва. Если произошло повреждение прямой кишки или влагалища, на резиновой перчатке врача может остаться кровь.
После травмы у пострадавшего следует оценить функцию мочеиспускания. Одним из признаков повреждения стенки мочевого пузыря при переломе костей таза является наличие алой крови в моче. У некоторых пациентов может наблюдаться анурия после травмы, поэтому необходимо провести катетеризацию мочевого пузыря с использованием мягкого стерильного катетера.
Если при переломе седалищной кости произошел разрыв уретры, из наружного мочеиспускательного канала может выделяться кровь без примесей мочи. У мужчин уретроррагия часто сопровождается образованием гематомы в области предстательной железы.
Однако указанные признаки перелома седалищных костей могут отсутствовать у некоторых пострадавших, поэтому требуется провести ряд инструментальных исследований.
При серьезных травмах пострадавшему могут быть рекомендованы следующие методы диагностики:
- Метод сравнительных измерений;
- Ректальное обследование;
- Влагалищное обследование;
- Катетеризация мочевого пузыря;
- Ангиография;
- Ретроградная цистография;
- Лапароцентез;
- Диагностическая лапаротомия.
Урологические исследования должны проводиться в стабильном состоянии после стабилизации пострадавшего и выхода его из шока.

Первая помощь
- При оказании первой помощи пациенту с переломом седалищной кости медицинский работник обязан строго следовать всем правилам иммобилизации.
- Пострадавшего с травмой таза следует уложить на спину на жесткие носилки.
- Врач «Скорой помощи» должен разместить под коленными суставами пациента небольшой валик, изготовленный из одежды.
- В случае сочетанного перелома костей нижних конечностей их необходимо зафиксировать с помощью лестничных шин.
- Больному следует ввести обезболивающие средства.
- При возникновении признаков шока пациенту необходимо провести противошоковые мероприятия (врач должен осуществить коррекцию гемодинамики и восполнить объем циркулирующей крови).
- Пострадавший должен быть транспортирован в травматологическое отделение стационара на карете «Скорой помощи».
Лечение
Тактика лечения переломов седалищных костей определяется типом и степенью тяжести травмы. В случае развития шока у пациента необходимо восполнение объема крови, а также переливание плазмы и эритроцитов. Ключевую роль в борьбе с шоком играет местное обезболивание перелома (внутритазовая анестезия). Если наблюдается продолжающееся внутреннее кровотечение, требуется срочное хирургическое вмешательство и перевязка артерий.
После проведения обезболивания пациента укладывают на специализированную ортопедическую кровать в положении «лягушки». В этом положении ноги больного слегка согнуты в коленях и бедрах. Колени должны быть разведены в стороны, а стопы расположены близко друг к другу, при этом бедра разворачиваются наружу. Под колени и бедра рекомендуется подложить небольшие валики.
Длительность постельного режима обычно зависит от степени сложности перелома, но составляет не менее одного месяца. Через 1,5 – 2 месяца после получения травмы пациенту разрешаются физические нагрузки. Полное восстановление трудоспособности происходит через 3-5 месяцев, а в случае серьезных травм — через 1-1,5 года.
Выбор хирургического лечения для пациента с переломом седалищной кости зависит не только от типа повреждения, но и от общего состояния больного, а также времени, прошедшего с момента травмы.
Переломы костей таза часто сопровождаются переломами бедра и голени. В таких случаях пострадавшего укладывают на жесткую кровать, а поврежденные нижние конечности фиксируют с помощью функциональных шин.
Последствия
Последствия перелома седалищной кости таза можно выделить в следующем списке:
- Проблемы с срастанием костей;
- Появление инфекционных осложнений после травмы;
- При повреждении нервов у пациента наблюдаются нарушения чувствительности в области малого таза и нижних конечностей;
- Остеоартрит;
- Укорочение ног;
- Хромота;
- Ограничение подвижности тазобедренного сустава;
- Остеомиелит;
- Ампутация матки и влагалища;
- Снижение мышечной массы и атрофия мышц ног;
- Недержание кала и мочи.
Реабилитация
Существует несколько методов реабилитации после перелома седалищной кости таза:
- Упражнения лечебной физкультуры;
- Массажные процедуры;
- Физиотерапевтические процедуры;
- Сбалансированное питание;
- Лечение в санаториях и курортах.
Профилактика
Перелома седалищной кости включает в себя несколько ключевых аспектов, направленных на снижение риска травм и укрепление костной ткани. Основные меры профилактики можно разделить на несколько категорий: физическая активность, правильное питание, использование защитного снаряжения и регулярные медицинские осмотры.
Физическая активность играет важную роль в поддержании здоровья костей. Упражнения, направленные на укрепление мышц и улучшение координации, могут значительно снизить риск падений, которые часто приводят к переломам. Рекомендуется заниматься такими видами физической активности, как плавание, йога, пилатес и силовые тренировки. Эти виды спорта помогают развивать гибкость, силу и баланс, что особенно важно для пожилых людей.
Правильное питание также является важным аспектом профилактики. Кости нуждаются в достаточном количестве кальция и витамина D для поддержания своей прочности. Включение в рацион молочных продуктов, зеленых листовых овощей, рыбы и орехов поможет обеспечить организм необходимыми питательными веществами. Кроме того, стоит избегать избыточного потребления кофеина и алкоголя, так как они могут негативно сказаться на здоровье костей.
Использование защитного снаряжения в определенных ситуациях, таких как занятия спортом или выполнение работ на высоте, может значительно снизить риск травм. Специальные защитные шорты, наколенники и другие средства защиты помогут смягчить удар при падении и предотвратить серьезные травмы.
Регулярные медицинские осмотры также важны для профилактики переломов. Особенно это касается людей старше 50 лет, у которых риск остеопороза и других заболеваний, влияющих на прочность костей, значительно возрастает. Врач может назначить анализы на уровень витамина D и кальция, а также провести остеоденситометрию для оценки плотности костной ткани. При необходимости могут быть рекомендованы добавки или медикаменты для укрепления костей.
В заключение, профилактика перелома седалищной кости требует комплексного подхода, включающего физическую активность, правильное питание, использование защитного снаряжения и регулярные медицинские осмотры. Соблюдение этих рекомендаций поможет снизить риск травм и сохранить здоровье костей на долгие годы.
Вопрос-ответ
Каковы основные симптомы перелома седалищной кости?
Основные симптомы включают сильную боль в области таза, затруднения при движении, отек и синяки в области повреждения. Пациенты могут также испытывать боль при попытке сесть или встать, а в некоторых случаях может наблюдаться деформация области таза.
Как диагностируется перелом седалищной кости?
Диагностика обычно начинается с физического осмотра и сбора анамнеза. Врач может назначить рентгенографию для визуализации кости и определения наличия перелома. В некоторых случаях может потребоваться МРТ или КТ для более детального изучения повреждений.
Как проходит лечение перелома седалищной кости?
Лечение может варьироваться в зависимости от степени перелома. В большинстве случаев требуется покой, применение льда и обезболивающих средств. В более серьезных случаях может потребоваться хирургическое вмешательство для стабилизации кости. Реабилитация включает физиотерапию для восстановления функции и силы.
Советы
СОВЕТ №1
Обратитесь к врачу сразу после травмы. Перелом седалищной кости может быть не сразу заметен, поэтому важно пройти рентгенографию или МРТ для точной диагностики и определения степени повреждения.
СОВЕТ №2
Следуйте рекомендациям по реабилитации. После лечения перелома важно выполнять назначенные упражнения и физиотерапию, чтобы восстановить подвижность и укрепить мышцы вокруг таза.
СОВЕТ №3
Обратите внимание на свой рацион. Убедитесь, что ваша диета богата кальцием и витамином D, чтобы поддерживать здоровье костей и ускорить процесс заживления.
СОВЕТ №4
Избегайте нагрузок на травмированную область. В первые недели после травмы старайтесь минимизировать физическую активность и избегайте длительного сидения или стояния, чтобы не усугубить состояние.