Киста Бейкера, или поплитеальная киста, образуется в области коленного сустава из-за накопления жидкости в суставной сумке. Это состояние может вызывать дискомфорт, ограничение подвижности и болевые ощущения, что негативно сказывается на качестве жизни пациента. В статье рассмотрим причины возникновения кисты Бейкера, ее симптомы, методы диагностики и лечения, включая оперативное вмешательство. Информация будет полезна как пациентам, так и медицинским специалистам в области ортопедии и травматологии.
Причины
В коленном суставе человека присутствует особая смазка – синовиальная жидкость. При различных травмах, затрагивающих кости, суставы или связки, ее количество может увеличиваться. Чаще всего избыточная жидкость «скапливается» под коленом, со временем образуя кисту или грыжу.
Киста в области подколенной ямки может также возникать из-за ряда воспалительных и дегенеративных заболеваний, таких как остеоартроз, ревматоидный артрит и износ менисков.
У детей и подростков появление кисты Бейкера может быть связано с врожденными аномалиями опорно-двигательного аппарата и слабостью связок.
К основным причинам этого состояния относятся травмы и последующие отеки тканей нижних конечностей:
- Различные травмы коленного сустава, включая удары и вывихи;
- Остеоартроз;
- Ревматоидный артрит;
- Остеоартрит;
- Дегенеративные изменения и повреждения менисков коленного сустава;
- Повреждения суставных хрящей колена;
- Воспалительные процессы в синовиальной оболочке коленного сустава (синовит);
- Пателлофеморальный артроз.
Киста Бейкера, или поплитеальная киста, представляет собой скопление жидкости в области коленного сустава, возникающее в результате различных заболеваний, таких как остеоартрит или травмы. Эксперты отмечают, что данное образование может вызывать дискомфорт, ограничение подвижности и даже болевые ощущения. Лечение кисты Бейкера часто начинается с консервативных методов, включая физиотерапию, применение противовоспалительных препаратов и инъекции кортикостероидов. Однако в случаях, когда киста вызывает значительные симптомы или осложнения, может потребоваться оперативное вмешательство. Хирургическое удаление кисты позволяет устранить источник проблемы и восстановить нормальную функцию коленного сустава. Важно, чтобы пациенты консультировались с врачом для выбора оптимального метода лечения, учитывая индивидуальные особенности и состояние здоровья.

Симптомы
Клинические проявления заболевания усиливаются по мере роста и развития кисты. На начальном этапе пациент может испытывать легкий дискомфорт и умеренные болевые ощущения в области коленного сустава.
Отек на задней части колена может варьироваться от нескольких миллиметров до нескольких сантиметров. В среднем диаметр кисты составляет около 3 см. Со временем киста может исчезнуть сама по себе, однако у некоторых людей она продолжает увеличиваться и вызывает следующие симптомы:
- Ощущение давления в коленном суставе и чувство наличия инородного тела в подколенной ямке;
- Киста может затруднять передвижение;
- Внутренняя сторона колена может отекать;
- С увеличением кисты происходит сжатие нервных окончаний, что приводит к болевым ощущениям, которые могут иррадиировать в бедро и голень;
- Боль в икроножных мышцах может возникать даже при минимальной физической активности;
- Постепенно ухудшается подвижность в коленном суставе, что затрудняет сгибание и разгибание ноги, длительную ходьбу или стояние, а также подъем по лестнице.
| Симптом | Возможное лечение | Необходимость оперативного вмешательства |
|---|---|---|
| Боль в колене, особенно при сгибании или разгибании | Консервативное лечение: покой, лед, компрессия, возвышение ноги; противовоспалительные препараты (НПВП); физиотерапия | Редко, только при значительном размере кисты, сильной боли, неэффективности консервативного лечения, или осложнениях (разрыв кисты) |
| Опухоль позади колена (подколенная ямка) | Аспирация (удаление жидкости из кисты) | Может потребоваться при рецидивах кисты после аспирации или при неэффективности консервативного лечения |
| Ограничение подвижности коленного сустава | Инъекции кортикостероидов | Может быть показано при значительном ограничении подвижности, не поддающемся консервативному лечению |
| Чувство напряжения или тугоподвижности в колене | Физическая терапия (упражнения на укрепление мышц, улучшение гибкости) | В большинстве случаев не требуется |
| Ощущение щелчка или хруста в колене | Изменение образа жизни (снижение нагрузки на колено) | В большинстве случаев не требуется |
| Покраснение и припухлость вокруг колена (при разрыве кисты) | Антибиотики (при инфекции), хирургическое вмешательство (при разрыве) | Необходимо при разрыве кисты, инфекции или других осложнениях |
Интересные факты
Вот несколько интересных фактов о кисте Бейкера коленного сустава и ее лечении:
-
Причины возникновения: Киста Бейкера, также известная как поплитеальная киста, образуется в результате накопления жидкости в задней части колена. Это может быть связано с различными заболеваниями, такими как остеоартрит, травмы колена или воспалительные процессы, например, артрит. Таким образом, киста часто является симптомом других проблем с суставом.
-
Симптомы и диагностика: Киста Бейкера может не вызывать никаких симптомов и быть случайной находкой при обследовании. Однако, если она увеличивается в размере, может возникнуть боль, отек и ограничение подвижности колена. Для диагностики используются ультразвуковое исследование или МРТ, которые помогают визуализировать кисты и оценить состояние окружающих тканей.
-
Методы лечения: Лечение кисты Бейкера может варьироваться от консервативных методов, таких как физиотерапия, инъекции кортикостероидов и изменение образа жизни, до оперативного вмешательства. Операция может быть рекомендована, если киста вызывает значительный дискомфорт или осложнения, такие как разрыв. В ходе операции киста может быть удалена, а также может быть проведена коррекция основной проблемы, которая привела к ее образованию.

Осложнения
У некоторых людей киста может не вызывать никаких симптомов, и они даже могут не подозревать о ее наличии. Это зависит от ее размера и места расположения. Если доброкачественное образование начинает сжимать не только нервные окончания, но и сосуды, это может привести к развитию варикозного расширения вен на ногах, что в дальнейшем может привести к тромбозу и тромбофлебиту.
У некоторых пациентов такое доброкачественное образование может трансформироваться в злокачественную опухоль.
Если киста продолжает увеличиваться, существует риск ее разрыва, и синовиальная жидкость может вытекать между связками и мышцами голени. В результате нога пациента может опухнуть, покраснеть и стать горячей на ощупь.
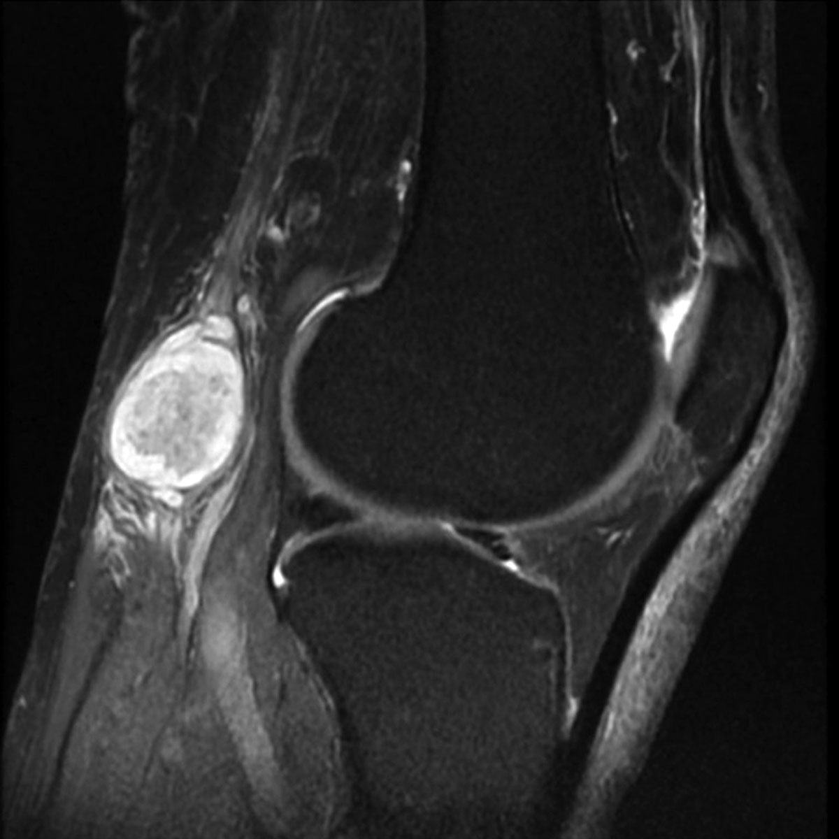
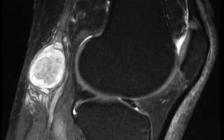
Диагностика
Диагностика данного заболевания начинается с опроса врача о симптомах и особенностях начала болезни. Затем специалист проводит пальпацию опухолевидного образования в задней подколенной ямке, чтобы оценить его консистенцию и наличие болезненности. Также важно проверить объем активных движений в коленном суставе. После сбора анамнеза и проведения объективного осмотра пациенту назначается ультразвуковое исследование. Этот метод позволяет визуализировать кисту, а также определить ее размеры и точное местоположение.
Врач, занимающийся ультразвуковой диагностикой, может установить стадию развития доброкачественного образования. Более точный диагноз устанавливается после проведения магнитно-резонансной томографии (МРТ). Этот современный метод лучевой диагностики помогает определить размеры, расположение, стадию развития и причины возникновения патологического процесса в тканях. Диафаноскопия является одним из самых простых и безопасных способов диагностики кисты Бейкера. С помощью этого метода врач может «просветить» доброкачественную опухоль в подколенной ямке.
При данном заболевании рентгеновская диагностика практически не применяется, поскольку киста не обладает рентгеноконтрастностью. Тем не менее, рентген может помочь выявить патологические процессы в коленном суставе, которые привели к образованию доброкачественной опухоли. На основе основных и дополнительных методов диагностики врач устанавливает окончательный диагноз и выбирает подходящий метод лечения — консервативный или хирургический.
Народная медицина
В народной медицине для борьбы с данным патологическим образованием часто используется настойка золотого уса. Для ее приготовления потребуется практически всё растение, за исключением корней. Усы, стебли и листья золотого уса помещают в две трехлитровые банки и заливают водкой. Затем банки следует разместить в темном и прохладном месте на три недели.
По истечении трех недель содержимое банок необходимо процедить, в результате чего получится настойка и выжимка. Настойку из золотого уса принимают внутрь по 2 глотка 2-3 раза в день, а выжимку используют для компрессов на пораженный сустав. Этот метод лечения не рекомендуется применять детям.
Для детей и взрослых также можно использовать компрессы из смеси чистотела и лопуха. Листья этих лечебных растений следует измельчить с помощью мясорубки и полученную массу прикладывать к коленному суставу сверху и снизу. Сверху компресс накрывают полиэтиленовой пленкой и укутывают теплым платком. Рекомендуется оставлять такой компресс на ночь. Если используются сухие листья лопуха и чистотела, их предварительно нужно заварить.
Эффективной оказывается смесь алоэ, стрептоцида и лимона. Для ее приготовления необходимо соединить 1 грамм стрептоцида, 1 чайную ложку лимонного сока и 1 чайную ложку сока алоэ. Все ингредиенты тщательно перемешиваются. Полученная масса наносится на пораженное колено, сверху накрывается полиэтиленовой пленкой и укутывается теплым платком. Рекомендуется оставлять компресс на колене на всю ночь.
Лечение
Консервативная терапия:
При выявлении кисты Бейкера в стерильных условиях выполняется ее пункция с использованием толстой иглы. В ходе этой процедуры врач удаляет содержимое кисты и вводит внутрь образования противовоспалительные препараты и гормоны.
К числу таких препаратов относятся гидрокортизон и дипроспан, а также их аналоги.
Помимо инвазивных методов, для лечения применяются наружные мази, содержащие противовоспалительные и гормональные компоненты, а также компрессы. Введение гормонов непосредственно в полость коленного сустава также демонстрирует отличный эффект. Медикаментозная терапия данного заболевания осуществляется курсами.
Многим пациентам помогает физиотерапия, включая процедуры с импульсными электромагнитными излучениями и биорезонансную терапию, а также грязелечение.
При наличии выраженного болевого синдрома врач может назначить обезболивающие средства, а также рекомендовать использование коленного бандажа или эластичного бинта. Ночью рекомендуется держать ноги в приподнятом положении.
Если консервативные методы не приносят результатов и патологический процесс продолжает развиваться, пациенту может потребоваться хирургическое вмешательство.
Операция
Показания к хирургическому вмешательству:
- Значительный размер кисты или ее стремительный рост;
- Отсутствие результата от консервативного лечения;
- Явное ограничение подвижности коленного сустава (нога не сгибается в колене);
- Повторное возникновение заболевания после одного или нескольких курсов консервативной терапии.
В ходе операции киста Бейкера в области колена удаляется. Процедура занимает около 30 минут и выполняется под местной анестезией. Во многих медицинских учреждениях для этого используется лапароскопическое оборудование, что минимизирует повреждение окружающих тканей сустава. В послеоперационный период на колено накладывают гипс или плотную повязку. Швы снимаются примерно через неделю. Нагрузку на прооперированную ногу разрешается начинать только через 5 дней.
Спустя 7-10 дней после операции пациент возвращается к своему обычному образу жизни, и коленный сустав больше не вызывает дискомфорта.

Заключение
Кисту Бейкера следует обязательно лечить. Пренебрежение визитом к специалисту и игнорирование его рекомендаций могут привести к утрате подвижности сустава, возникновению сильных болей и значительным ограничениям в повседневной жизни. К числу осложнений этого заболевания относятся варикозное расширение вен, тромбоз глубоких вен, разрыв кисты и другие серьезные проблемы. Наиболее эффективным способом избавления от кисты является хирургическое вмешательство. После операции и прохождения реабилитационного курса пациент может вернуться к привычному образу жизни и навсегда забыть о возникшей проблеме.
Профилактика
Киста Бейкера коленного сустава включает в себя несколько ключевых аспектов, направленных на снижение риска её возникновения и прогрессирования. Основные меры профилактики можно разделить на несколько категорий: физическая активность, правильное питание, контроль за состоянием суставов и регулярные медицинские осмотры.
Физическая активность. Регулярные физические упражнения помогают поддерживать нормальный тонус мышц, что, в свою очередь, способствует стабильности коленного сустава. Однако важно избегать чрезмерных нагрузок, особенно если у вас уже есть предрасположенность к заболеваниям суставов. Рекомендуются умеренные аэробные нагрузки, такие как плавание, ходьба или езда на велосипеде, которые не оказывают чрезмерного давления на колени.
Правильное питание. Сбалансированное питание играет важную роль в поддержании здоровья суставов. Употребление продуктов, богатых омега-3 жирными кислотами (рыба, орехи), антиоксидантами (фрукты, овощи) и витаминами (особенно витаминами D и C) может помочь уменьшить воспалительные процессы в организме. Также стоит обратить внимание на поддержание нормального веса, так как избыточная масса тела создает дополнительную нагрузку на суставы.
Контроль за состоянием суставов. Людям, имеющим предрасположенность к заболеваниям суставов, рекомендуется регулярно проходить медицинские осмотры и следить за состоянием коленных суставов. При первых признаках болей или дискомфорта следует обратиться к врачу для диагностики и назначения соответствующего лечения. Это поможет предотвратить развитие более серьезных заболеваний, включая кисты Бейкера.
Избегание травм. Травмы коленного сустава могут стать одной из причин возникновения кисты Бейкера. Поэтому важно соблюдать осторожность при занятиях спортом и физической активностью, использовать защитное снаряжение и избегать резких движений, которые могут привести к повреждениям.
Регулярные медицинские осмотры. Профилактические осмотры у врача помогут выявить возможные проблемы на ранних стадиях. Это особенно актуально для людей с хроническими заболеваниями суставов, такими как остеоартрит или ревматоидный артрит, которые могут способствовать образованию кисты Бейкера.
Следуя этим рекомендациям, можно значительно снизить риск возникновения кисты Бейкера и других заболеваний коленного сустава, а также улучшить общее состояние здоровья и качество жизни.
Вопрос-ответ
В каком случае оперируют кисту Бейкера?
Если киста Бейкера достигает крупных размеров, вызывает сдавливание сосудов или нервов, либо не поддается консервативному лечению, назначается операция. Основной метод — удаление кисты и перекрытие ее соединения с суставной полостью.
Можно ли вылечить кисту Бейкера без хирургического вмешательства?
Ультразвуковое исследование является лучшим способом, чтобы распознать заболевание и помочь исключить тромбоз глубоких вен. Иногда для подтверждения диагноза используется МРТ. Самым современным методом лечения кисты Бейкера является лечение лазером.
Как проводится операция по удалению кисты Бейкера?
Удаление кисты Бейкера представляет собой открытое хирургическое вмешательство по иссечению сухожильной сумки вместе с содержимым, с последующим герметичным прошиванием устья. Операция проводится травматологом-ортопедом с применением анестезии и не предусматривает серьезных осложнений для человека.
Что нельзя делать, если у тебя киста Бейкера?
Если у пациента в анамнезе была киста, не стоит заниматься силовыми видами спорта. Бег замените на ходьбу, запишитесь на йогу, пилатес, стретчинг. Отлично укрепляет подколенные сухожилия ходьба назад. Избегайте длительных походов, при необходимости пользуйтесь тростью.
Советы
СОВЕТ №1
Перед началом лечения кисты Бейкера обязательно проконсультируйтесь с врачом. Самолечение может привести к ухудшению состояния, поэтому важно получить профессиональную оценку и рекомендации.
СОВЕТ №2
Регулярно выполняйте упражнения для укрепления мышц ног и улучшения гибкости коленного сустава. Это поможет снизить нагрузку на сустав и уменьшить риск возникновения кисты.
СОВЕТ №3
Следите за своим весом. Избыточная масса тела увеличивает нагрузку на коленные суставы, что может способствовать образованию кисты Бейкера. Поддержание здорового веса поможет снизить риск и улучшить общее состояние суставов.
СОВЕТ №4
Если вы заметили симптомы, такие как отек или боль в области колена, не откладывайте визит к врачу. Раннее выявление и лечение кисты Бейкера могут предотвратить осложнения и необходимость хирургического вмешательства.
