Костная мозоль — ключевой элемент заживления переломов, представляющий собой новую костную ткань, образующуюся на месте повреждения. В статье рассмотрим механизмы формирования костной мозоли, ее роль в восстановлении костной структуры и факторы, влияющие на этот процесс. Понимание образования костной мозоли поможет в лечении травм и профилактике осложнений, связанных с нарушением заживления, что будет полезно как медицинским работникам, так и пациентам, стремящимся к быстрому восстановлению после травм.
Функции костной системы
-
Механическая функция. Опорно-двигательная система человека включает в себя кости, хрящи и мышцы, что позволяет ему перемещаться в пространстве под контролем нервной системы. Прочность костей является ключевым аспектом для полноценного функционирования этой системы;
-
Защитная функция. Кости человеческого тела формируют своеобразный каркас, который защищает жизненно важные внутренние органы и системы. Кроме того, внутри костей находится костный мозг, отвечающий за гемопоэз (участвует в образовании крови) и выполняющий иммунные функции;
-
Метаболическая функция. Костная ткань служит основным резервуаром для кальция и фосфора в организме, что позволяет поддерживать стабильный уровень этих элементов в организме.
Костная мозоль является важным элементом процесса заживления переломов. Эксперты отмечают, что она формируется в результате реакции организма на травму, когда активируются остеобласты, отвечающие за образование новой костной ткани. По мнению специалистов, правильное восстановление после перелома зависит от множества факторов, включая возраст пациента, общее состояние здоровья и соблюдение рекомендаций врача. Важно отметить, что костная мозоль проходит несколько стадий развития, начиная с воспалительной реакции и заканчивая ремоделированием кости. Исследования показывают, что физическая активность и сбалансированное питание могут значительно ускорить процесс заживления. Однако чрезмерные нагрузки на поврежденную область могут привести к осложнениям, поэтому необходима осторожность и соблюдение режима реабилитации.

Строение костной ткани
В человеческом скелете выделяют два основных типа костей:
- Плоские кости (включают все кости черепа, лопатку, нижнюю челюсть и подвздошную кость);
- Длинные кости (такие как бедренная, плечевая, большеберцовая и лучевая кости).
Процесс регенерации в длинных и плоских костях происходит с различной скоростью и механизмами.
У взрослого человека кости имеют пластинчатую структуру с правильно организованными коллагеновыми волокнами. Внешняя часть кости образована тонким и плотным слоем кальцинированной ткани. Корковый слой покрывает диафизы, где располагается медуллярная полость, содержащая костный мозг.
При переломе кости происходит сращение обломков с образованием новой ткани, известной как костная мозоль.
| Стадия заживления перелома | Характеристики костной мозоли | Клинические признаки |
|---|---|---|
| Воспалительная (1-3 недели) | Образование гематомы, воспаление, начало формирования фиброзной ткани | Боль, отек, покраснение, ограничение подвижности |
| Репаративная (3-8 недель) | Образование хрящевой и костной мозоли, начало кальцификации | Уменьшение боли, постепенное увеличение подвижности |
| Ремоделирование (8 недель – 1 год и более) | Перестройка костной мозоли, приближение к нормальной структуре кости | Продолжительное уменьшение боли, восстановление функции конечности, изменение формы костной мозоли |
Интересные факты
Вот несколько интересных фактов о костной мозоли:
-
Процесс заживления: Костная мозоль образуется в процессе заживления переломов. Сначала на месте перелома формируется мягкая мозоль из хрящевой ткани, которая затем постепенно превращается в костную мозоль, состоящую из новой костной ткани. Этот процесс может занять от нескольких недель до нескольких месяцев в зависимости от типа перелома и состояния здоровья пациента.
-
Роль остеобластов и остеокластов: В образовании костной мозоли участвуют два типа клеток: остеобласты, которые отвечают за формирование новой костной ткани, и остеокласты, которые разрушают старую или поврежденную кость. Баланс между этими клетками критически важен для успешного заживления.
-
Влияние физической активности: Умеренная физическая активность может способствовать более быстрому образованию костной мозоли. Нагрузки на кость стимулируют остеобласты, что ускоряет процесс заживления. Однако чрезмерные нагрузки могут привести к осложнениям, поэтому важно соблюдать баланс и следовать рекомендациям врача.

Как происходит регенерация костной ткани
Время формирования костной мозоли зависит от типа перелома и общего состояния пациента и может колебаться от нескольких недель до нескольких месяцев. Известно, что у детей этот процесс происходит быстрее, что значительно сокращает сроки срастания костей.
Регенерация костной ткани после перелома представляет собой сложный биохимический процесс, в котором задействованы различные системы организма.
Восстановление целостности кости происходит быстрее, если костные фрагменты после травмы не смещены и надкостница остается неповрежденной.
Когда анатомическая целостность кости нарушена, восстановление костной ткани осуществляется за счет активного деления специализированных клеток, находящихся в камбиальном слое надкостницы и части эндоста. В процессе регенерации также участвуют малодифференцированные клетки костного мозга и мезенхиальные клетки, расположенные в оболочке сосудов.
В процессе регенерации выделяют четыре основных стадии:
-
Стадия аутолиза. При воздействии травмирующего фактора на кость возникает отек окружающих тканей, а также активируются определенные лейкоциты, которые направляются к месту повреждения. Это приводит к тому, что мертвые клетки и ткани подвергаются аутолизу. Первая стадия достигает своего метаболитного пика на 3-4 день после травмы, после чего начинается ее постепенное снижение.
-
Стадия пролиферации. В этот период происходит активное деление клеток костной ткани и синтез веществ, необходимых для формирования минеральной составляющей кости. У некоторых пациентов, при неблагоприятных условиях, сначала образуется хрящевая ткань, которая затем насыщается минеральными веществами и заменяется костной.
-
Стадия перестройки костной ткани. В организме пациента постепенно восстанавливается кровоснабжение поврежденной кости. На этой стадии из мелких костных балок формируется плотное и компактное костное вещество.
-
Стадия полного восстановления. У пациента восстанавливается структура костномозгового канала. На этом этапе происходит изменение ориентации костных балок, которые располагаются в соответствии с направлениями силовых нагрузок на кость. Процесс завершается образованием надкостницы и прорастанием новых кровеносных сосудов, а также постепенным восстановлением всех морфофункциональных возможностей поврежденного участка костной ткани.
Принято выделять четыре вида костной мозоли:
- Периостальная мозоль. Этот тип мозоли проявляется в виде небольшого утолщения вдоль линии перелома кости.
- Эндоостальная мозоль. Данная костная мозоль образуется внутри самой кости. У некоторых пациентов может наблюдаться незначительное уменьшение толщины костной ткани в области перелома.
- Интермедиальная мозоль. В этом случае костная мозоль располагается между фрагментами кости, при этом профиль кости остается практически неизменным.
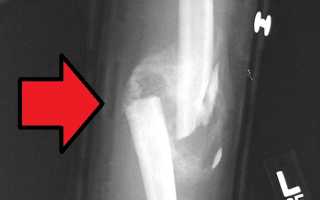
- Параоссальная мозоль. Она образует широкий выступ вокруг поврежденной части кости. На рентгеновских снимках этот выступ может искажать как форму, так и структуру сломанной кости.
Тип костной мозоли, который возникнет у человека после перелома, зависит от его регенеративных способностей, а также от локализации повреждения или перелома.
Какие факторы регулируют процесс костного метаболизма
-
Гормоны, отвечающие за обмен кальция в организме:
- Паратиреоидный гормон;
- Кальцитонин;
- Кальцитриол (активная форма витамина D).
-
Разнообразные системные гормоны организма:
- Гормоны надпочечников (например, глюкокортикоиды);
- Гормоны щитовидной железы (например, тироксин);
- Половые гормоны (например, эстроген);
- Гормоны поджелудочной железы (например, инсулин);
- Гормоны гипофиза (например, соматотропный гормон).
-
Факторы роста:
- Эпидермальный фактор роста;
- Инсулиноподобные факторы роста;
- Фактор роста фибробластов.
-
Местные факторы (вырабатываемые клетками костной ткани):
- Простагландины;
- Остеокластактивирующий фактор.
Таким образом, процесс формирования костной мозоли у пациента после перелома является довольно сложным и регулируется множеством гормонов и специфических факторов роста. Любые нарушения в производстве ключевых гормонов или сбои в этой сложной системе могут негативно сказаться на регенерации костной ткани.
Важно отметить, что с возрастом регенерация костной ткани снижается. У женщин после 35 лет наблюдается увеличение времени, необходимого для формирования костной мозоли при переломах. У мужчин скорость восстановления костной ткани начинает снижаться к 50 годам. У пожилых людей кости часто содержат множество незаполненных пустот, а активность остеобластов практически отсутствует. У некоторых пациентов в преклонном возрасте могут быть выявлены участки нежизнеспособной (денервированной) кости. Эти обстоятельства указывают на то, что процесс регенерации практически не получает должной стимуляции.
Надо ли лечить костную мозоль
Костная мозоль не требует лечения, так как она является естественным процессом, способствующим восстановлению анатомической структуры кости.
Однако в некоторых ситуациях в больницах может быть принято решение об удалении костной мозоли, если она проявляет отечность и покраснение, а также вызывает сильные болевые ощущения в области своего формирования. Чтобы избежать необходимости в удалении костной мозоли во время операции, после перелома необходимо провести репозицию костных фрагментов с обязательным контролем с помощью рентгена.
Что делать для быстрого образования костной мозоли
Для улучшения процессов восстановления костной ткани пациентам назначаются физиотерапевтические процедуры, такие как электрофорез и магнитотерапия. Эти методы способствуют улучшению кровообращения в области перелома, помогают формированию качественной костной мозоли и ускоряют восстановление функции поврежденной кости.
Правильная иммобилизация при переломах играет ключевую роль в быстром восстановлении целостности кости. Чтобы обеспечить более быстрое заживление, в остром периоде после травмы пострадавший должен избегать нагрузки на поврежденную кость. Дозированные физические нагрузки можно начинать не ранее чем через несколько недель после травмы и только с разрешения врача-травматолога.
Для успешного сращивания костей после перелома пациенту необходимо включать в рацион продукты, богатые кальцием, минералами и витаминами. На столе больного ежедневно должны присутствовать молочные и кисломолочные изделия, а также свежие овощи и фрукты.
Пожилым людям, страдающим от остеопороза, и женщинам в постклимактерическом периоде могут быть назначены кальциевые препараты в таблетках (например, «Кальций – Д3 – Никомед»), коллагеновые добавки («Коллаген Ультра») и поливитамины.
Для ускорения процесса образования костной мозоли пожилым людям рекомендуется больше времени проводить на свежем воздухе, особенно в солнечные дни, чтобы получать необходимую дозу витамина D.
После переломов пациентам следует избегать алкоголя, курения и кофе, а также придерживаться правильного и сбалансированного питания.
Что делать, если у человека долго не образуется костная мозоль
В данной ситуации требуется провести лабораторное обследование, которое поможет оценить метаболическое состояние костной ткани.
У пациента необходимо исключить следующие заболевания:
- Остеомаляция;
- Остеопороз (на нашем сайте вы можете пройти простые тесты для определения риска остеопороза);
- Метастазы в костях при онкологических заболеваниях;
- Миеломная болезнь;
- Гиперпаратиреоз.
Лабораторное обследование включает в себя:
- Анализ состояния минерального обмена и гормонов, отвечающих за регуляцию кальция;
- Оценку специфических маркеров, участвующих в процессах костного метаболизма;
- Гормональные и биохимические исследования;
- Оценку работы печени и почек.
Определив точную причину нарушений в регенерации костной ткани, врач сможет назначить соответствующее медикаментозное лечение, что поможет ускорить метаболические процессы формирования костной мозоли.

Профилактика нарушений формирования костной мозоли
Формирование костной мозоли является важным этапом в процессе заживления костей после переломов. Однако в некоторых случаях могут возникать нарушения, которые приводят к осложнениям и замедлению восстановления. Профилактика этих нарушений включает в себя несколько ключевых аспектов, которые необходимо учитывать как в клинической практике, так и в повседневной жизни.
1. Правильное питание
Одним из основных факторов, влияющих на процесс формирования костной мозоли, является питание. Для обеспечения нормального заживления костей необходимо достаточное количество витаминов и минералов, таких как кальций, витамин D, магний и фосфор. Включение в рацион молочных продуктов, зелени, орехов и рыбы поможет поддерживать необходимый уровень этих веществ в организме.
2. Физическая активность
Умеренная физическая активность способствует улучшению кровообращения и, как следствие, лучшему питанию тканей, участвующих в процессе заживления. Однако важно избегать чрезмерных нагрузок на поврежденную область, так как это может привести к повторным травмам и нарушению формирования костной мозоли. Рекомендуется проконсультироваться с врачом о допустимых физических нагрузках в период восстановления.
3. Соблюдение рекомендаций врача
После получения травмы или перелома важно строго следовать указаниям врача. Это включает в себя соблюдение режима покоя, использование фиксирующих повязок или гипсовых повязок, а также регулярные контрольные осмотры. Неправильное или несвоевременное лечение может привести к неправильному сращению костей и образованию патологической костной мозоли.
4. Избежание вредных привычек
Курение и злоупотребление алкоголем негативно влияют на процесс заживления костей. Никотин снижает кровоснабжение тканей, а алкоголь может нарушать обмен веществ, что затрудняет поступление необходимых питательных веществ к поврежденной области. Отказ от этих привычек значительно повысит шансы на успешное восстановление.
5. Контроль хронических заболеваний
Хронические заболевания, такие как диабет или остеопороз, могут существенно повлиять на процесс формирования костной мозоли. Важно контролировать уровень сахара в крови и поддерживать здоровье костной ткани. Регулярные медицинские осмотры и соблюдение назначенной терапии помогут избежать осложнений.
6. Использование физиотерапии
Физиотерапевтические процедуры, такие как ультразвук, магнитотерапия и электростимуляция, могут быть полезны для ускорения процесса заживления и улучшения кровообращения в области травмы. Консультация с физиотерапевтом поможет определить наиболее подходящие методы для конкретного случая.
Соблюдение этих рекомендаций поможет минимизировать риск нарушений формирования костной мозоли и обеспечит более быстрое и эффективное восстановление после травм. Важно помнить, что каждый случай индивидуален, и подход к лечению должен быть комплексным и основанным на рекомендациях медицинских специалистов.
Вопрос-ответ
Что такое костная мозоль и как она образуется?
Костная мозоль — это образование, которое возникает в результате заживления переломов костей. Она формируется из соединительной ткани и постепенно превращается в костную ткань, обеспечивая восстановление целостности кости. Процесс образования костной мозоли включает несколько этапов, начиная с воспалительной реакции и заканчивая минерализацией новой ткани.
Как долго заживает костная мозоль после перелома?
Время заживления костной мозоли зависит от множества факторов, включая возраст пациента, тип и локализацию перелома, а также общее состояние здоровья. Обычно процесс заживления занимает от нескольких недель до нескольких месяцев. Важно следовать рекомендациям врача и проходить реабилитацию для ускорения восстановления.
Какие методы лечения могут помочь при образовании костной мозоли?
Лечение костной мозоли обычно включает консервативные методы, такие как физиотерапия, массаж и применение ортопедических средств. В некоторых случаях может потребоваться хирургическое вмешательство, если мозоль вызывает болевые ощущения или препятствует нормальному движению. Важно проконсультироваться с врачом для выбора наиболее подходящего метода лечения.
Советы
СОВЕТ №1
Обратитесь к врачу при первых симптомах. Если вы заметили опухоль или болезненность в области кости, не откладывайте визит к специалисту. Раннее диагностирование поможет избежать осложнений и ускорит процесс лечения.
СОВЕТ №2
Следите за своим питанием. Убедитесь, что ваш рацион богат кальцием и витамином D, которые способствуют укреплению костей. Включите в меню молочные продукты, рыбу, орехи и зелень.
СОВЕТ №3
Регулярно выполняйте физические упражнения. Умеренная физическая активность помогает поддерживать здоровье костей и улучшает кровообращение. Однако избегайте чрезмерных нагрузок, которые могут усугубить состояние.
СОВЕТ №4
Используйте ортопедические средства. Если у вас есть предрасположенность к образованию костных мозолей, рассмотрите возможность использования специальных стелек или бандажей, которые помогут снизить нагрузку на проблемные участки.