Перелом плечевой кости со смещением — серьезная травма, требующая тщательной диагностики и лечения. В статье рассмотрим методы лечения, необходимость хирургического вмешательства и этапы реабилитации. Понимание этих процессов поможет пациентам и их близким лучше ориентироваться в ситуации и подготовиться к восстановлению. Информация будет полезна как тем, кто столкнулся с этой проблемой, так и медицинским работникам, стремящимся повысить квалификацию в травматологии.
Классификация переломов плеча
-
В зависимости от локализации перелома выделяют:
- В области проксимального отдела плечевой кости;
- В диафизе кости;
- В дистальной части плечевой кости.
-
Переломы верхней части плечевой кости классифицируются на:
- Переломы головки плеча;
- Переломы анатомической шейки;
- Переломы большого и/или малого бугорков плечевой кости (подробности о переломе большого бугорка можно найти здесь).
-
В зависимости от количества переломов плечевой кости выделяют:
- Двойные переломы;
- Тройные переломы;
- Множественные переломы.
-
По расположению линии перелома относительно суставов:
- Линия перелома проникает в сустав или суставы (локтевой или плечевой);
- Линия перелома проходит вдоль кости.
-
По характеру повреждений мягких тканей плеча различают:
- Закрытые переломы;
- Открытые непроникающие (раневая поверхность не соединяется с поврежденной костью);
- Проникающие переломы плечевой кости, сопровождающиеся потерей мягких тканей и их значительным обнажением, что приводит к загрязнению костей в области повреждения;
- Переломы плеча с обширной отслойкой кожи;
- Переломы со смещением, при которых повреждаются крупные сосуды и нервы;
- Переломы, сопровождающиеся размозжением мягких тканей.
-
По характеру образовавшихся костных фрагментов выделяют:
- Кольцевидные фрагменты;
- Цилиндрические фрагменты;
- Полуцилиндрические (кость расколота вдоль);
- Косые фрагменты;
- Крупнооскольчатые фрагменты.
-
По характеру смещения костных фрагментов различают:
- Без смещения;
- Смещение костных осколков на одном уровне;
- Смещение небольшого промежуточного фрагмента.
-
Вправимые (закрытая репозиция у пострадавшего);
- Невправимые (так называемый «ключевой» фрагмент) с резким нарушением основных осей плечевой кости, а также формы и длины верхней конечности.
Перелом плечевой кости со смещением является серьезной травмой, требующей внимательного подхода к лечению и реабилитации. Эксперты подчеркивают, что такая травма часто возникает в результате падений или спортивных травм, и может сопровождаться значительной болью и ограничением подвижности. Важно своевременно обратиться за медицинской помощью, так как неправильное сращение кости может привести к долгосрочным осложнениям. В большинстве случаев лечение включает в себя иммобилизацию с помощью гипса или ортеза, а в более сложных ситуациях может потребоваться хирургическое вмешательство. Реабилитация играет ключевую роль в восстановлении функции плеча, и специалисты рекомендуют начинать физическую терапию как можно раньше, чтобы минимизировать риск развития мышечной атрофии и улучшить восстановление подвижности.

Причины
- Удар по плечевой кости;
- Падение на плечо или локтевую область;
- Дорожно-транспортные происшествия;
- Травмы на производстве (попадание руки в движущиеся механизмы);
- Спортивные травмы.
Переломы головки плечевой кости и переломы в области ее анатомической шейки являются достаточно редкими травмами. При проведении обследования пациента можно заметить, что головка может быть смещена или почти полностью оторвана, а в некоторых случаях она оказывается в полости плечевого сустава, напоминая свободное тело. У некоторых пострадавших фиксируется вколоченная форма перелома плечевой кости.
| Симптом | Описание | Возможные осложнения |
|---|---|---|
| Сильная боль в плече | Острая, пульсирующая боль, усиливающаяся при движении. | Повреждение нервов и сосудов, артроз плечевого сустава, синдром замороженного плеча, неправильное сращение костей. |
| Деформация плеча | Видимое изменение формы плеча, укорочение или искривление руки. | Функциональные ограничения, хроническая боль. |
| Ограничение подвижности | Невозможность или затруднение при поднятии руки, отведении ее в сторону, вращении. | Мышечная атрофия, контрактуры суставов. |
| Отек и гематома | Припухлость и синяк в области плеча. | Инфекция, замедленное заживление. |
| Крепитация | Хруст при пальпации места перелома. | Не является самостоятельным осложнением, но указывает на наличие перелома. |
| Потеря чувствительности | Онемение или покалывание в руке или пальцах. | Постоянная потеря чувствительности, парез или паралич. |
| Бледность или цианоз кисти | Изменение цвета кожи кисти, свидетельствующее о нарушении кровообращения. | Некроз тканей, гангрена. |
Интересные факты
Вот несколько интересных фактов о переломе плечевой кости со смещением:
-
Анатомическая сложность: Плечевая кость (гумерус) является самой длинной и крупной костью верхней конечности. Переломы в области плеча могут затрагивать различные анатомические структуры, включая нервы и сосуды, что делает их особенно сложными для лечения и восстановления.
-
Методы лечения: Переломы плечевой кости со смещением часто требуют хирургического вмешательства для правильного выравнивания костей. Одним из популярных методов является остеосинтез с использованием металлических пластин и винтов, что позволяет обеспечить стабильность и правильное сращение кости.
-
Реабилитация: Восстановление после перелома плечевой кости со смещением может занять от нескольких месяцев до года. Важную роль в процессе реабилитации играют физические упражнения, которые помогают восстановить подвижность и силу плечевого сустава, а также предотвратить развитие осложнений, таких как контрактуры или ограничение движений.

Группы риска
- Люди пожилого возраста;
- Женщины, проходящие через менопаузу;
- Ребенок;
- Спортсмены, занимающиеся профессионально;
- Работники на опасных производственных объектах;
- Пациенты с серьезными хроническими заболеваниями или признаками остеопороза.
Симптомы
- После травмы у пострадавшего возникает резкая боль в области плеча;
- Движения в поврежденной руке ограничены;
- В месте перелома наблюдается отек мягких тканей;
- У некоторых пациентов может быть нарушена целостность плечевого или локтевого сустава, что сопровождается гемартрозом;
- При пальпации области перелома слышна крепитация костных фрагментов;
- В случае серьезных травм перелом может сопровождаться обширными межмышечными гематомами;
- Острые костные отломки часто повреждают крупные сосуды и нервы, что приводит к нарушению иннервации и кровообращения в руке;
- У пациента наблюдается выраженная деформация плеча или локтевого сустава;
- У некоторых пострадавших могут возникать множественные переломы плеча в результате тяжелой травмы;
- При множественных переломах плеча у человека может развиться клиника травматического шока;
- При размозжении плечевой кости и повреждении плечевой артерии у пострадавшего возникает сильное кровотечение;
- При осмотре поврежденной конечности можно заметить множественные кровоизлияния и гематому в области плеча;
- У некоторых пациентов переломы плеча могут сочетаться с сотрясением головного мозга и переломами других частей скелета;
- Верхняя конечность пострадавшего выглядит бледной;
- У пострадавшего может быть снижена пульсация на периферических сосудах руки;
- При осмотре видно, что поврежденная верхняя конечность немного длиннее здоровой.

Первая помощь
Основные задачи первой медицинской помощи:
- Специалист обязан выполнить все необходимые действия для устранения угрозы жизни пациента, включая восстановление дыхания и сердечной активности, а также остановку кровотечения.
- Медицинская помощь должна быть сосредоточена на предотвращении возможных осложнений, таких как травматический или геморрагический шок, а также инфекция раны.
- Врач «Скорой помощи» должен создать оптимальные условия для транспортировки пациента в травматологическое отделение больницы.
Первая помощь при переломе плеча со смещением
- В случае травмы плеча пострадавшему необходимо вызвать «Скорую помощь» или обратиться в ближайший травмпункт.
- Врач, прибывший на место происшествия, должен успокоить пациента и освободить его руку от стесняющей одежды (куртку или пальто следует аккуратно разрезать ножницами).
- Если у пострадавшего нет явных признаков травматического шока, врач вводит внутримышечно ненаркотические анальгетики и кетарол (наркотические анальгетики могут угнетать дыхательный центр пациента).
- В области перелома плеча выполняется новокаиновая блокада 0.5% раствором новокаина в объеме около 20 мл.
- Иммобилизация плеча осуществляется с помощью проволочных шин.
- Если в «Скорой помощи» нет проволочных шин, иммобилизация поврежденной руки производится с использованием подручных материалов (палок, досок).
- При открытом переломе плеча перед наложением проволочной шины необходимо обработать рану йодом и наложить асептическую повязку.
- Транспортировка пострадавшего может осуществляться как сидя, так и лежа на носилках.
- Во время транспортировки в медицинское учреждение врач должен следить за уровнем сознания, цветом кожи и слизистых оболочек, а также за симптомами нарушений дыхания и кровообращения.
- Если у пациента развиваются признаки травматического или геморрагического шока, врач «Скорой помощи» должен провести противошоковые мероприятия в зависимости от состояния больного.
При оказании первой медицинской помощи врач должен сохранять спокойствие и избегать действий, которые могут навредить пострадавшему. Часто первая помощь оказывается в нестандартных условиях (на дороге, в цехе, в поле). Профессионализм врача «Скорой помощи» может существенно повлиять на исход травмы, поэтому помощь должна быть оказана быстро и в кратчайшие сроки после получения травмы (непосредственно на месте происшествия).
Правила наложения проволочной шины
Шину для пострадавшего следует подготовить заранее, измерив и согнув её в нужных местах. Затем к верхнему концу шины привязываются две полоски марли шириной 75 см каждая. Шину необходимо обернуть марлей и бинтами. Медицинский работник может продемонстрировать процесс наложения шины на своей руке.
Иммобилизацию поврежденной верхней конечности у пострадавшего должны выполнять двое специалистов. Один из них фиксирует поврежденную руку пациента, сгибая её в локте под углом 90 градусов и немного выдвигая вперед на угол около 30 градусов. Второй медицинский работник накладывает шину на руку пострадавшего, подкладывая небольшой валик из марли и ваты в область подмышечной впадины, а затем аккуратно связывает концы шины марлевыми полосками, которые должны обхватывать здоровое плечо пациента как спереди, так и сзади.
После наложения шины её необходимо зафиксировать с помощью бинтов. Сначала бинтуются надплечье и верхняя часть плеча, затем предплечье, а в последнюю очередь — плечо и локтевой сустав. Верхнюю конечность пациента следует дополнительно прикрепить к туловищу с помощью бинтов или косынки.
Диагностика
- Сбор анамнеза (врач обязан уточнить у пациента детали происшествия, в результате которого была получена травма);
- Жалобы пациента (собирать жалобы невозможно у детей и у лиц с нарушенным сознанием);
- Результаты объективного осмотра;
- Дополнительные методы диагностики (лабораторные и инструментальные исследования)
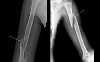
- Рентгенография;
- Компьютерная томография;
- Магнитно-резонансная томография.
Лечение
Лечение перелома плечевой кости со смещением начинается с репозиции. Перед проведением этой процедуры врач-травматолог осуществляет местное обезболивание, вводя 1% раствор новокаина в объеме не менее 15-20 мл.
Сопоставление костных фрагментов у пациента с переломом плечевой кости должно выполняться опытным и квалифицированным специалистом (хирургом или травматологом) в условиях стационара. Неправильные действия врача могут привести к еще большему смещению фрагментов плечевой кости, что может повредить мышцы, связки, кровеносные сосуды и нервы верхней конечности.
В травматологии выделяют два метода репозиции:
- Закрытая:
- Аппаратная;
- Ручная.
- Открытая.
После успешного сопоставления костных отломков пациенту накладывают гипсовую повязку или лонгету.
Оперативное вмешательство показано в следующих случаях:
- При неудачной попытке или невозможности правильно сопоставить костные отломки плеча закрытым способом;
- При повторных смещениях костных фрагментов плечевой кости после репозиции.
Для пациентов с переломом плеча со смещением во время операции применяется остеосинтез.
В травматологическом или хирургическом отделении стационара перед назначенной операцией для уточнения диагноза проводятся современные методы диагностики: компьютерная томография или магнитно-резонансная томография.
Врачи-травматологи одной из крупных столичных клиник провели исследование отдаленных последствий перелома плечевой кости со смещением, которое показало, что меньший промежуточный костный фрагмент приводит к более длительным срокам консолидации и повышенному риску посттравматических осложнений.
Этот факт связан с нарушением кровоснабжения костных отломков и их значительным смещением и поворотом, что, как правило, невозможно исправить закрытым способом.
При переломе плечевой кости со смещением отломков необходимо провести открытую репозицию, а затем надежно зафиксировать отломки с помощью погружных конструкций. Для внешней иммобилизации данного типа перелома обычно используется торакобрахиальная гипсовая повязка на срок 2-3 месяца. Чрезкостный остеосинтез с использованием аппаратов наружной фиксации показал отличные результаты в лечении пациентов с переломом плечевой кости со смещением. Процесс репозиции и срастания кости контролируется врачом с помощью рентгеновских снимков.
Если у пациента осуществляется скелетное вытяжение за локтевой отросток на отводящей шине, этот метод не позволяет достичь полной репозиции костных отломков и восстановления основной оси плечевой кости. В случаях, когда в результате травмы образуются небольшие кольцевидные или цилиндрические промежуточные костные фрагменты, предпочтительным методом оперативного лечения является остеосинтез с использованием винтов или стержней.
У некоторых пациентов костные осколки могут быть очень мелкими, и их невозможно скрепить, поэтому требуется их удаление.
Выбор метода оперативного лечения перелома руки со смещением у каждого конкретного пациента часто зависит от характера повреждения плечевой кости и степени смещения отломков.
Операция может длиться несколько часов и проводится под общим наркозом. Противопоказаниями к оперативному лечению являются возраст пациента старше 65 лет и наличие серьезных сопутствующих заболеваний (например, болезни сердца и легких).
Прогноз срастания перелома руки со смещением зависит от типа травмы и степени смещения отломков.
Иммобилизация при переломе плечевой кости со смещением
В хирургических стационарах при переломах плечевой кости с смещением чаще всего применяются торакобрахиальные повязки. Эти повязки предназначены для иммобилизации руки при диафизарных переломах, а также при серьезных около- и внутрисуставных повреждениях плечевой кости, независимо от выбранного метода лечения. При травмах плечевой кости в верхней трети с выраженным смещением костных фрагментов (особенно у детей) удержание отломков в правильном положении после их сопоставления представляет собой значительную трудность.
В некоторых ситуациях для достижения этой цели необходимо фиксировать руку пострадавшего в том положении, в котором удалось добиться полной репозиции костных фрагментов. Если у пациента произошел высокий перелом верхней части плечевой кости, то вправление отломков возможно только при резком отведении руки под углом от 100 до 145 градусов. Именно в таком положении верхнюю конечность пациента фиксируют с помощью повязки Уитмена-Громова.
Вытяжение за гипсовую повязку на отводящей шине
Этот тип фиксирующей повязки используется при переломах плечевой кости со смещением на любом уровне. Сначала важно правильно выбрать или изготовить отводящую шину. В травматологии существует несколько вариантов ее конструкции. Во многих медицинских учреждениях специалисты применяют несколько проволочных шин Крамера (обычно три). Первая шина изгибается так, чтобы ее горизонтальная часть плотно прилегала к плечу пациента, а вертикальная служила для фиксации к туловищу. Из второй шины формируют горизонтальную часть для предплечья с опорой. Третья проволочная шина поддерживает первые две.
В некоторых случаях простую отводящую шину можно создать из полос фанеры или картона, а также деревянных реек.
После подготовки отводящей проволочной шины необходимо сделать гипсовую лонгету из 4-5 слоев (шириной около 10-12 см). Длина лонгеты определяется индивидуально. Для этого нужно измерить расстояние от начала головок пястных костей до верхней трети плечевой кости у пациента. Конечность пострадавшего устанавливают в правильное положение, после чего предварительно замоченная и разглаженная лонгета аккуратно укладывается от головок пястных костей (по тыльной стороне кисти) до тыльной поверхности предплечья и поднимается вверх к задней поверхности поврежденного плеча. Врач должен сделать небольшие надрезы на гипсовой повязке: у основания первого пальца и по обеим сторонам от локтевого сустава, затем тщательно отмоделировать гипсовую лонгету.
После наложения гипса важно следить за цветом кожных покровов пальцев руки и наличием отечности кисти. Если появляются синюшность пальцев или значительный отек, врач должен немедленно снять гипсовую повязку.
Обычно трудоспособность пациента восстанавливается через 1-2 месяца.
Реабилитация
В программу реабилитации после перелома руки со смещением входят следующие мероприятия:
- Лечебная физкультура;
- Массажные процедуры;
- Физиотерапия;
- Сбалансированное питание;
- Водные процедуры;
- Использование специального ортеза;
- Санаторно-курортное лечение.
После снятия гипса врач-травматолог рекомендует пациенту использовать ортез. Его можно приобрести в аптеке в ортопедическом отделе или в специализированных магазинах, занимающихся ортопедией.
Основные функции ортеза при переломе плечевой кости со смещением:
- Фиксируется поврежденная верхняя конечность в анатомически корректном положении;
- Помогает снизить нагрузку на мышечный и связочный аппарат, а также на локтевой и плечевой суставы.
Основные преимущества ношения ортеза:
- Ортез оснащен удобной муфтой для предплечья, которая имеет два ремня для надежной фиксации;
- В конструкции ортеза предусмотрен пояс для корректировки положения фиксированной верхней конечности;
- Ортез универсален и подходит для лечения переломов, вывихов и ушибов плеча;
- Данная модель ортеза подходит как мужчинам, так и женщинам, и может использоваться для обеих рук;
- Ортез доступен в трех размерах, что позволяет подобрать его индивидуально;
- Внутренняя часть ортеза выполнена из высококачественного 100% хлопкового трикотажа;
- Внешняя оболочка ортеза изготовлена из прочного полиэфирного материала;
- Ортез дополнен лентами с липучками для дополнительной фиксации.
Лечебная гимнастика назначается пострадавшему как можно скорее после получения травмы.
Основные цели лечебной физкультуры в периоде реабилитации:
- Восстановление утраченных функций верхней конечности происходит в короткие сроки;
- Профилактика формирования контрактур в локтевом и плечевом суставах;
- Эффективная защита от атрофии мышц верхней конечности;
- Способствует улучшению трофических процессов в поврежденной области руки;
- Способствует улучшению лимфооттока;
- Улучшает местное кровообращение как в руке, так и в организме в целом;
- Создает оптимальные условия для сращения перелома;
- Способствует улучшению настроения пациента;
- Повышает общий тонус организма;
- Профилактика сосудистых нарушений.
В процессе реабилитации пациентов с переломом плечевой кости со смещением используются как активные, так и пассивные движения. В первые дни больной должен выполнять упражнения под контролем врача-реабилитолога. Если возникают болевые ощущения в области плечевой кости, выполнение упражнений следует прекратить.
Физиотерапия играет ключевую роль в восстановительном лечении пострадавших.
Основные цели физиолечения:
- Обезболивание в области травмированной руки;
- Снижение отечности в руке;
- Стимуляция обменных процессов в зоне повреждения костной ткани;
- Восстановление регенеративных процессов в области формирования костной мозоли плечевой кости;
- Ускорение процесса заживления ран (в случае открытых переломов);
- Снижение воспалительных реакций в поврежденных тканях;
- Улучшение сращивания перелома плечевой кости;
- Укрепление общего и местного иммунитета организма;
- Профилактика атрофии мышц верхней конечности;
- Ускорение восстановления физиологических функций верхней конечности.
Физиотерапевтические методы:
- Электропроцедуры (диатермия, УВЧ-терапия);
- Парафиновые аппликации;
- Бальнеолечение;
- Озокеритолечение;
- Грязелечение;
- Водолечение.
Если у пациента наблюдается замедленное формирование костной мозоли, в области поврежденной кости рекомендуется проводить электрофорез с добавлением кальция.
Наличие металлических конструкций в области сломанной плечевой кости не является препятствием для проведения физиотерапевтического лечения. Для пациентов пожилого возраста физиотерапевтические процедуры могут быть назначены в сокращенном курсе.
Физиотерапия противопоказана:
- Злокачественные опухоли;
- Сердечно-сосудистая недостаточность третьей степени;
- Острые инфекционные болезни;
- Хронические заболевания в период обострения;
- Повышенная функция щитовидной железы;
- Эндокринные расстройства;
- Генерализованный дерматит;
- Кожные заболевания неясной природы (например, псориаз или экзема).
После удаления гипса пациенту обязательно назначают массаж и самомассаж области плеча.
Основные цели массажа:
- Способствует улучшению кровообращения;
- Способствует активизации лимфооттока;
- Укрепляет связочный аппарат верхней конечности;
- Предотвращает и устраняет вторичные изменения в тканях после перелома;
- Ускоряет окислительные и восстановительные процессы в мышцах;
- Повышает сократительную способность и тонус мышц руки.
Пациентам с осложнённым и долго не заживающим переломом плечевой кости рекомендуется санаторно-курортное лечение для полного восстановления функциональности повреждённой руки.
Осложнения и прогноз
Перелом плечевой кости со смещением может привести к различным осложнениям, которые могут существенно повлиять на восстановление функции руки и качество жизни пациента. Одним из наиболее распространенных осложнений является неправильное сращение кости, которое может произойти, если фрагменты кости не были правильно выровнены или зафиксированы. Это может привести к деформации плеча, ограничению подвижности и болевым ощущениям.
Другим возможным осложнением является повреждение окружающих мягких тканей, включая мышцы, нервы и сосуды. При переломе плечевой кости со смещением может произойти компрессия или растяжение нервов, что может вызвать такие симптомы, как онемение, покалывание или слабость в руке. Наиболее часто повреждается лучевой нерв, что может привести к нарушению функции кисти.
Инфекции также могут стать серьезной проблемой, особенно если перелом требует хирургического вмешательства. Открытые переломы, при которых кость проникает через кожу, имеют более высокий риск инфекционных осложнений. В таких случаях важно своевременно проводить антибактериальную терапию и следить за состоянием раны.
Кроме того, у пациентов с переломом плечевой кости со смещением может развиться посттравматический артрит, который возникает в результате повреждения суставного хряща. Это может привести к хронической боли и ограничению подвижности в плечевом суставе.
Прогноз при переломе плечевой кости со смещением зависит от множества факторов, включая возраст пациента, общее состояние здоровья, тип и степень перелома, а также качество оказанной медицинской помощи. В большинстве случаев, при правильном лечении, пациенты могут ожидать полного восстановления функции плеча в течение нескольких месяцев. Однако в некоторых случаях, особенно у пожилых людей или при наличии сопутствующих заболеваний, восстановление может занять больше времени, и не всегда возможно достичь полного восстановления.
Важно отметить, что ранняя диагностика и адекватное лечение перелома плечевой кости со смещением играют ключевую роль в снижении риска осложнений и улучшении прогноза. Регулярные контрольные осмотры и реабилитационные мероприятия также способствуют более быстрому восстановлению и возвращению к обычной активности.
Вопрос-ответ
Каковы основные симптомы перелома плечевой кости со смещением?
Основные симптомы включают сильную боль в области плеча, отек, ограничение подвижности руки, а также видимые деформации, если кость смещена. Пациенты могут испытывать трудности при попытке поднять руку или выполнять обычные движения.
Как осуществляется лечение перелома плечевой кости со смещением?
Лечение может включать консервативные методы, такие как иммобилизация с помощью шины или повязки, а также хирургическое вмешательство для восстановления правильного положения кости. Выбор метода зависит от степени смещения и общего состояния пациента.
Как долго длится восстановление после перелома плечевой кости со смещением?
Время восстановления может варьироваться в зависимости от тяжести перелома и метода лечения. Обычно процесс заживления занимает от 6 до 12 недель, после чего может потребоваться реабилитация для восстановления функции плеча.
Советы
СОВЕТ №1
Если вы подозреваете перелом плечевой кости, немедленно обратитесь к врачу. Самолечение может привести к осложнениям и неправильному сращению кости.
СОВЕТ №2
После получения медицинской помощи следуйте рекомендациям врача по реабилитации. Упражнения для восстановления подвижности и силы плеча помогут избежать долгосрочных последствий.
СОВЕТ №3
Обратите внимание на свою диету. Убедитесь, что вы получаете достаточное количество кальция и витамина D, чтобы поддержать процесс заживления костей.
СОВЕТ №4
Избегайте физических нагрузок на поврежденную руку до полного выздоровления. Это поможет предотвратить повторные травмы и обеспечит правильное сращение кости.